Antibody data
- Antibody Data
- Antigen structure
- References [0]
- Comments [0]
- Validations
- Western blot [2]
- Immunohistochemistry [6]
- Other assay [1]
Submit
Validation data
Reference
Comment
Report error
- Product number
- UM800061 - Provider product page

- Provider
- Invitrogen Antibodies
- Product name
- MMP7 Monoclonal Antibody (UMAB168), UltraMAB™
- Antibody type
- Monoclonal
- Antigen
- Recombinant protein fragment
- Reactivity
- Human
- Host
- Mouse
- Isotype
- IgG
- Antibody clone number
- UMAB168
- Vial size
- 100 µL
- Concentration
- 0.5-1.0 mg/mL
- Storage
- -20° C, Avoid Freeze/Thaw Cycles
No comments: Submit comment
Supportive validation
- Submitted by
- Invitrogen Antibodies (provider)
- Main image

- Experimental details
- Western blot of human tissue lysates (15 µg) from 10 different tissues (1: Testis, 2: Omentum, 3: Uterus, 4: Breast, 5: Brain, 6: Liver, 7: Ovary, 8: Thyroid, 9: Colon, 10: Spleen). Dilution: 1:500.
- Submitted by
- Invitrogen Antibodies (provider)
- Main image

- Experimental details
- Western blot of cell lysates (35 µg) from 9 different cell lines (1: HepG2, 2: HeLa, 3: SV-T2, 4: A549, 5: COS7, 6: Jurkat, 7: PC-12, 8: MDCK, 9: MCF7). Dilution: 1:500.
Supportive validation
- Submitted by
- Invitrogen Antibodies (provider)
- Main image

- Experimental details
- Immunohistochemical staining of paraffin-embedded Carcinoma of Human lung tissue using anti-MMP7 mouse monoclonal antibody. (UM800061; heat-induced epitope retrieval by 1 mM EDTA in 10mM Tris, pH8.0, 120°C for 3min)
- Submitted by
- Invitrogen Antibodies (provider)
- Main image

- Experimental details
- Immunohistochemical staining of paraffin-embedded human endometrial carcinoma using anti-MMP7 clone UMAB168 mouse monoclonal antibody at 1:200 dilution 1mg/mL and detection with Polink2 Broad HRP DAB. UM800061 requires heat-induced epitope retrieval with EDTA pH 8.0 in a presure cooker for 3 minutes at 110°C. The image shows strong membranous and cytoplasmic staining in the tumor cells.
- Submitted by
- Invitrogen Antibodies (provider)
- Main image

- Experimental details
- Immunohistochemical staining of paraffin-embedded human gastric tumor using anti-MMP7 clone UMAB168 mouse monoclonal antibody at 1:200 dilution 1mg/mL and detection with Polink2 Broad HRP DAB. UM800061 requires heat-induced epitope retrieval with EDTA pH 8.0 in a presure cooker for 3 minutes at 110°C. The composit image shows two tumors with membranous and cytoplasmic staining in the tumor cells.
- Submitted by
- Invitrogen Antibodies (provider)
- Main image

- Experimental details
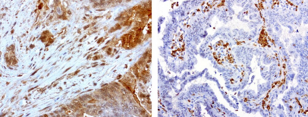
- Immunohistochemical staining of paraffin-embedded Carcinoma of Human pancreas tissue using anti-MMP7 mouse monoclonal antibody. (UM800061; heat-induced epitope retrieval by 1 mM EDTA in 10mM Tris, pH8.0, 120°C for 3min)
- Submitted by
- Invitrogen Antibodies (provider)
- Main image

- Experimental details
- Immunohistochemical staining of paraffin-embedded human tonsil using anti-MMP7 mouse monoclonal antibody. (UM800061; heat-induced epitope retrieval by 1 mM EDTA in 10mM Tris, pH8.0, 120°C for 3min)
- Submitted by
- Invitrogen Antibodies (provider)
- Main image

- Experimental details
- Immunohistochemical staining of paraffin-embedded Adenocarcinoma of Human colon tissue using anti-MMP7 mouse monoclonal antibody. (UM800061; heat-induced epitope retrieval by 1 mM EDTA in 10mM Tris, pH8.0, 120°C for 3min)
Supportive validation
- Submitted by
- Invitrogen Antibodies (provider)
- Main image

- Experimental details
- OriGene overexpression protein microarray chip was immunostained with UltraMAB anti-MMP7 mouse monoclonal antibody (UM800061). The positive reactive proteins are highlighted with two red arrows in the enlarged subarray. All the positive controls spotted in this subarray are also labeled for clarification.