Antibody data
- Antibody Data
- Antigen structure
- References [2]
- Comments [0]
- Validations
- Immunohistochemistry [1]
Submit
Validation data
Reference
Comment
Report error
- Product number
- bs-1913R - Provider product page

- Provider
- Bioss
- Proper citation
- Bioss Cat#bs-1913R, RRID:AB_10855463
- Product name
- MMP-8 Polyclonal Antibody
- Antibody type
- Polyclonal
- Description
- KLH conjugated synthetic peptide derived from human MMP8
- Reactivity
- Human, Mouse, Rat
- Host
- Rabbit
- Conjugate
- Unconjugated
- Isotype
- IgG
- Vial size
- 100ul
- Concentration
- 1ug/ul
- Storage
- Aqueous buffered solution containing 1% BSA, 50% glycerol and 0.09% sodium azide. Store at -20°C for 12 months.
Submitted references Decrease in male mouse fertility by hydrogen sulfide and/or ammonia can Be inheritable.
Influence of resveratrol on endoplasmic reticulum stress and expression of adipokines in adipose tissues/adipocytes induced by high-calorie diet or palmitic acid.
Zhang W, Zhao Y, Zhang P, Hao Y, Yu S, Min L, Li L, Ma D, Chen L, Yi B, Tang X, Meng Q, Liu L, Wang S, Shen W, Zhang H
Chemosphere 2018 Mar;194:147-157
Chemosphere 2018 Mar;194:147-157
Influence of resveratrol on endoplasmic reticulum stress and expression of adipokines in adipose tissues/adipocytes induced by high-calorie diet or palmitic acid.
Chen L, Wang T, Chen G, Wang N, Gui L, Dai F, Fang Z, Zhang Q, Lu Y
Endocrine 2017 Mar;55(3):773-785
Endocrine 2017 Mar;55(3):773-785
No comments: Submit comment
Supportive validation
- Submitted by
- Bioss (provider)
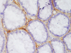
- Main image

- Experimental details
- Formalin-fixed and paraffin embedded human stomach carcinoma labeled with Rabbit Anti-MMP-8 Polyclonal Antibody, Unconjugated (bs-1913R) at 1:200 followed by conjugation to the secondary antibody and DAB staining
- Sample type
- Human
- Other comments
- Stomach