Antibody data
- Antibody Data
- Antigen structure
- References [0]
- Comments [0]
- Validations
- Immunohistochemistry [1]
Submit
Validation data
Reference
Comment
Report error
- Product number
- STJ95775 - Provider product page

- Provider
- St John's Laboratory
- Product name
- Anti-MED21 antibody (40-120 Internal) (STJ95775)
- Antibody type
- Polyclonal
- Description
- Rabbit polyclonal antibody anti-Mediator Of Rna Polymerase Ii Transcription Subunit 21 (40-120 Internal) is suitable for use in Immunohistochemistry, Immunofluorescence and ELISA research applications.
- Reactivity
- Human, Mouse
- Host
- Rabbit
- Conjugate
- Unconjugated
- Antigen sequence
NA- Epitope
- NA
- Isotype
- IgG
- Antibody clone number
- NA
- Vial size
- NA
- Concentration
- NA
- Storage
- Store at-20°C for up to 1 year from the date of receipt, and avoid repeat freeze-thaw cycles.
- Handling
- NA
No comments: Submit comment
Supportive validation
- Submitted by
- St John's Laboratory (provider)
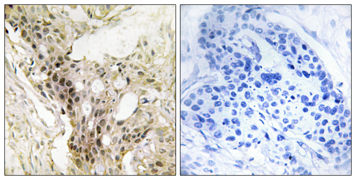
- Main image

- Experimental details
- Immunohistochemistry analysis of paraffin-embedded human breast carcinoma tissue, using MED21 Antibody. The picture on the right is blocked with the synthesized peptide.
- Sample type
- NA
- Validation comment
- NA
- Primary Ab dilution
- NA
- Other comments
- NA
- Secondary Ab
- NA
- Secondary Ab dilution
- NA
- Protocol
- NA