Antibody data
- Antibody Data
- Antigen structure
- References [4]
- Comments [0]
- Validations
- Western blot [1]
- Immunohistochemistry [2]
Submit
Validation data
Reference
Comment
Report error
- Product number
- 21748-1-AP - Provider product page

- Provider
- Proteintech Group
- Proper citation
- Proteintech Cat#21748-1-AP, RRID:AB_10733241
- Product name
- APC1 antibody
- Antibody type
- Polyclonal
- Description
- APC1 antibody (Cat. #21748-1-AP) is a rabbit polyclonal antibody that shows reactivity with human, mouse, rat and has been validated for the following applications: IHC, WB,ELISA.
- Reactivity
- Human, Mouse, Rat
- Host
- Rabbit
- Conjugate
- Unconjugated
- Isotype
- IgG
- Vial size
- 20ul, 150ul
Submitted references DNA replication initiation factor RECQ4 possesses a role in antagonizing DNA replication initiation.
TRPS1 drives heterochromatic origin refiring and cancer genome evolution.
Reciprocal interaction between SIRT6 and APC/C regulates genomic stability.
Screening key microRNAs for castration-resistant prostate cancer based on miRNA/mRNA functional synergistic network.
Xu X, Chang CW, Li M, Omabe K, Le N, Chen YH, Liang F, Liu Y
Nature communications 2023 Mar 4;14(1):1233
Nature communications 2023 Mar 4;14(1):1233
TRPS1 drives heterochromatic origin refiring and cancer genome evolution.
Yang J, Liu X, Huang Y, He L, Zhang W, Ren J, Wang Y, Wu J, Wu X, Shan L, Yang X, Sun L, Liang J, Zhang Y, Shang Y
Cell reports 2021 Mar 9;34(10):108814
Cell reports 2021 Mar 9;34(10):108814
Reciprocal interaction between SIRT6 and APC/C regulates genomic stability.
Wang H, Feng K, Wang Q, Deng H
Scientific reports 2021 Jul 9;11(1):14253
Scientific reports 2021 Jul 9;11(1):14253
Screening key microRNAs for castration-resistant prostate cancer based on miRNA/mRNA functional synergistic network.
Zhu J, Wang S, Zhang W, Qiu J, Shan Y, Yang D, Shen B
Oncotarget 2015 Dec 22;6(41):43819-30
Oncotarget 2015 Dec 22;6(41):43819-30
No comments: Submit comment
Supportive validation
- Submitted by
- Proteintech Group (provider)
- Main image

- Experimental details
- HeLa cells were subjected to SDS PAGE followed by western blot with 21748-1-AP(ANAPC1 antibody) at dilution of 1:1500
- Sample type
- cell line
Supportive validation
- Submitted by
- Proteintech Group (provider)
- Main image

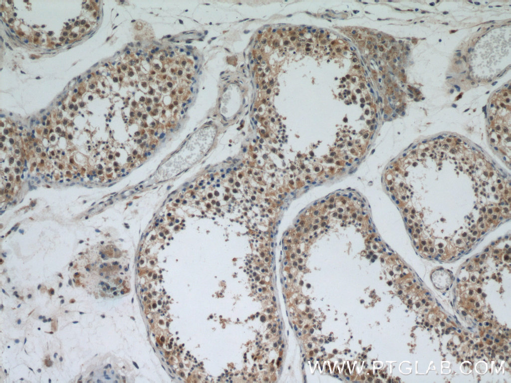
- Experimental details
- Immunohistochemical of paraffin-embedded human testis using 21748-1-AP(ANAPC1 antibody) at dilution of 1:50 (under 10x lens)
- Sample type
- tissue
- Submitted by
- Proteintech Group (provider)
- Main image

- Experimental details
- The APC1 antibody from Proteintech is a rabbit polyclonal antibody to a fusion protein of human APC1. This antibody recognizes human,mouse,rat antigen. The APC1 antibody has been validated for the following applications: ELISA, WB, IHC analysis.