NB100-56719
antibody from Novus Biologicals
Targeting: PGLYRP1
PGLYRP, PGRP, PGRP-S, PGRPS, TAG7, TNFSF3L
Antibody data
- Antibody Data
- Antigen structure
- References [6]
- Comments [0]
- Validations
- Western blot [1]
- Immunohistochemistry [1]
Submit
Validation data
Reference
Comment
Report error
- Product number
- NB100-56719 - Provider product page

- Provider
- Novus Biologicals
- Proper citation
- Novus Cat#NB100-56719, RRID:AB_838696
- Product name
- Mouse Monoclonal PGLYRP1/PGRP-S Antibody
- Antibody type
- Monoclonal
- Description
- Protein G purified.
- Reactivity
- Human, Mouse
- Host
- Mouse
- Isotype
- IgG
- Vial size
- 0.1 mg
- Concentration
- 1.0 mg/ml
- Storage
- Store at 4C short term. Aliquot and store at -20C long term. Avoid freeze-thaw cycles.
Submitted references A 12-mer Peptide of Tag7 (PGLYRP1) Forms a Cytotoxic Complex with Hsp70 and Inhibits TNF-Alpha Induced Cell Death.
Assessment of microbiota and peptidoglycan in perianal fistulas.
Opposite roles of metastasin (S100A4) in two potentially tumoricidal mechanisms involving human lymphocyte protein Tag7 and Hsp70.
Synergism between TLRs and NOD1/2 in oral epithelial cells.
Various human epithelial cells express functional Toll-like receptors, NOD1 and NOD2 to produce anti-microbial peptides, but not proinflammatory cytokines.
Chemically synthesized pathogen-associated molecular patterns increase the expression of peptidoglycan recognition proteins via toll-like receptors, NOD1 and NOD2 in human oral epithelial cells.
Romanova EA, Sharapova TN, Telegin GB, Minakov AN, Chernov AS, Ivanova OK, Bychkov ML, Sashchenko LP, Yashin DV
Cells 2020 Feb 20;9(2)
Cells 2020 Feb 20;9(2)
Assessment of microbiota and peptidoglycan in perianal fistulas.
van Onkelen RS, Mitalas LE, Gosselink MP, van Belkum A, Laman JD, Schouten WR
Diagnostic microbiology and infectious disease 2013 Jan;75(1):50-4
Diagnostic microbiology and infectious disease 2013 Jan;75(1):50-4
Opposite roles of metastasin (S100A4) in two potentially tumoricidal mechanisms involving human lymphocyte protein Tag7 and Hsp70.
Dukhanina EA, Kabanova OD, Lukyanova TI, Shatalov YV, Yashin DV, Romanova EA, Gnuchev NV, Galkin AV, Georgiev GP, Sashchenko LP
Proceedings of the National Academy of Sciences of the United States of America 2009 Aug 18;106(33):13963-7
Proceedings of the National Academy of Sciences of the United States of America 2009 Aug 18;106(33):13963-7
Synergism between TLRs and NOD1/2 in oral epithelial cells.
Uehara A, Takada H
Journal of dental research 2008 Jul;87(7):682-6
Journal of dental research 2008 Jul;87(7):682-6
Various human epithelial cells express functional Toll-like receptors, NOD1 and NOD2 to produce anti-microbial peptides, but not proinflammatory cytokines.
Uehara A, Fujimoto Y, Fukase K, Takada H
Molecular immunology 2007 May;44(12):3100-11
Molecular immunology 2007 May;44(12):3100-11
Chemically synthesized pathogen-associated molecular patterns increase the expression of peptidoglycan recognition proteins via toll-like receptors, NOD1 and NOD2 in human oral epithelial cells.
Uehara A, Sugawara Y, Kurata S, Fujimoto Y, Fukase K, Kusumoto S, Satta Y, Sasano T, Sugawara S, Takada H
Cellular microbiology 2005 May;7(5):675-86
Cellular microbiology 2005 May;7(5):675-86
No comments: Submit comment
Supportive validation
- Submitted by
- Novus Biologicals (provider)
- Main image

- Experimental details
- Western Blot: PGLYRP1/PGRP-S Antibody (188C424) [NB100-56719] - Analysis using PGLYRP1/PGRP-S antibody. Lysate from human Jurkat cells probed with PGRP-S antibody at 2 ug/ml.
Supportive validation
- Submitted by
- Novus Biologicals (provider)
- Main image

- Experimental details
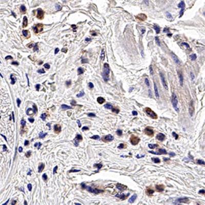
- Immunohistochemistry-Paraffin: PGLYRP1/PGRP-S Antibody (188C424) [NB100-56719] - IHC analysis of formalin fixed paraffin-embedded (FFPE) human esophagus using PGLYRPI/PGRP-S antibody at 20 ug/ml on a Bond Rx autostainer (Leica Biosystems). The assay involved 20 minutes of heat induced antigen retrieval (HIER) using 10mM sodium citrate buffer (pH 6.0) and endogenous peroxidase quenching with peroxide block. The sections were incubated with primary antibody for 30 minutes and Bond Polymer Refine Detection (Leica Biosystems) with DAB was used for signal development followed by counterstaining with hematoxylin. Whole slide scanning and capturing of representative images was performed using Aperio AT2 (Leica Biosystems). Staining of peripheral leukocytes and neutrophils was observed. Staining was performed by Histowiz.