Antibody data
- Antibody Data
- Antigen structure
- References [0]
- Comments [0]
- Validations
- Immunohistochemistry [1]
Submit
Validation data
Reference
Comment
Report error
- Product number
- 22908 - Provider product page

- Provider
- Signalway Antibody LLC
- Proper citation
- Signalway Cat#22908, RRID:AB_11124095
- Product name
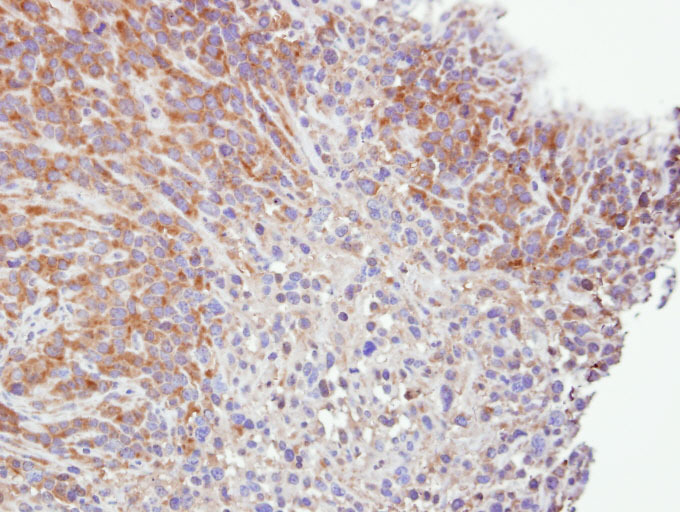
- caspase-4 antibody
- Antibody type
- Polyclonal
- Antigen
- Synthetic peptide contain a sequence corresponding to a region within amino acids 68 and 132 of caspase-4
- Host
- Rabbit
- Conjugate
- Unconjugated
- Vial size
- 100µl
No comments: Submit comment
Supportive validation
- Submitted by
- Signalway Antibody LLC (provider)
- Main image

- Experimental details
- Immunohistochemical analysis of paraffin-embedded SAS xenograft, using Caspase 4 antibody at 1: 500 dilution.