Antibody data
- Antibody Data
- Antigen structure
- References [0]
- Comments [0]
- Validations
- Western blot [2]
- Immunohistochemistry [3]
- Flow cytometry [3]
Submit
Validation data
Reference
Comment
Report error
- Product number
- R32548 - Provider product page

- Provider
- NSJ Bioreagents
- Product name
- NFIA Antibody
- Antibody type
- Polyclonal
- Description
- This highly specific NFIA antibody is suitable for use in Western blot/Immunohistochemistry/Flow cytometry applications with human, mouse and rat samples.
- Reactivity
- Human, Mouse, Rat
- Host
- Rabbit
- Conjugate
- Unconjugated
- Vial size
- 100 ug
- Concentration
- 0.5mg/ml if reconstituted with 0.2ml sterile DI water
- Storage
- After reconstitution, the NFIA antibody can be stored for up to one month at 4oC. For long-term, aliquot and store at -20oC. Avoid repeated freezing and thawing.
No comments: Submit comment
Supportive validation
- Submitted by
- NSJ Bioreagents (provider)
- Main image

- Experimental details
- Western blot testing of human 1) Jurkat and 2) COLO320 lysate with NFIA antibody at 0.5ug/ml. Predicted molecular weight ~56 kDa (unmodified), 60-70 kDa (phosphorylated).
- Submitted by
- NSJ Bioreagents (provider)
- Main image

- Experimental details
- Western blot testing of mouse 1) HEPA1-6 and 2) SP2/0 lysate with NFIA antibody at 0.5ug/ml. Predicted molecular weight ~56 kDa (unmodified), 60-70 kDa (phosphorylated).
Supportive validation
- Submitted by
- NSJ Bioreagents (provider)
- Main image

- Experimental details
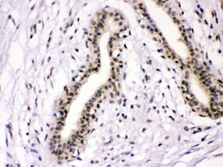
- IHC testing of FFPE human breast cancer tissue with NFIA antibody at 1ug/ml. HIER: steam section in pH6 citrate buffer for 20 min.
- Submitted by
- NSJ Bioreagents (provider)
- Main image

- Experimental details
- IHC testing of FFPE mouse liver with NFIA antibody at 1ug/ml. HIER: steam section in pH6 citrate buffer for 20 min.
- Submitted by
- NSJ Bioreagents (provider)
- Main image

- Experimental details
- IHC testing of FFPE rat liver with NFIA antibody at 1ug/ml. HIER: steam section in pH6 citrate buffer for 20 min.
Supportive validation
- Submitted by
- NSJ Bioreagents (provider)
- Main image

- Experimental details
- Flow cytometry testing of human K562 cells with NFIA antibody at 1ug/10^6 cells (blocked with goat sera); Red=cells alone, Green=isotype control, Blue=NFIA antibody.
- Submitted by
- NSJ Bioreagents (provider)
- Main image

- Experimental details
- Flow cytometry testing of human U-2 OS cells with NFIA antibody at 1ug/10^6 cells (blocked with goat sera); Red=cells alone, Green=isotype control, Blue=NFIA antibody.
- Submitted by
- NSJ Bioreagents (provider)
- Main image

- Experimental details
- Flow cytometry testing of human SiHa cells with NFIA antibody at 1ug/10^6 cells (blocked with goat sera); Red=cells alone, Green=isotype control, Blue=NFIA antibody.