Antibody data
- Antibody Data
- Antigen structure
- References [0]
- Comments [0]
- Validations
- Western blot [1]
- Immunohistochemistry [2]
Submit
Validation data
Reference
Comment
Report error
- Product number
- TA331828 - Provider product page

- Provider
- OriGene
- Product name
- Rabbit Polyclonal Anti-TBX20 Antibody
- Antibody type
- Polyclonal
- Description
- Rabbit Polyclonal Anti-TBX20 Antibody
- Host
- Rabbit
- Conjugate
- Unconjugated
- Epitope
- TBX20
- Isotype
- IgG
- Antibody clone number
- NULL
- Vial size
- 100 µl
- Concentration
- NULL
No comments: Submit comment
Supportive validation
- Submitted by
- OriGene (provider)
- Main image

- Experimental details
- Host: Rabbit; Target Name: TBX20; Sample Tissue: Jurkat cell lysates; Antibody Dilution: 1.0ug/ml
- Validation comment
- WB
Supportive validation
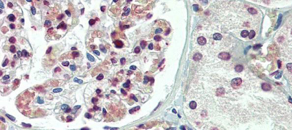
- Submitted by
- OriGene (provider)
- Main image

- Experimental details
- Immunohistochemistry with Human kidney lysate tissue at an antibody concentration of 5.0ug/ml using anti-TBX20 antibody
- Validation comment
- IHC
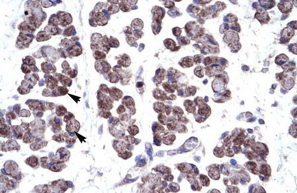
- Submitted by
- OriGene (provider)
- Main image

- Experimental details
- Human Muscle
- Validation comment
- IHC