Antibody data
- Antibody Data
- Antigen structure
- References [0]
- Comments [0]
- Validations
- Western blot [1]
- Immunohistochemistry [1]
Submit
Validation data
Reference
Comment
Report error
- Product number
- AP51561PU-N - Provider product page

- Provider
- Acris Antibodies GmbH
- Proper citation
- Acris Antibodies GmbH Cat#AP51561PU-N, RRID:AB_11150223
- Product name
- anti FAM180A (Center)
- Antibody type
- Polyclonal
- Antigen
- KLH conjugated synthetic peptide between 101-130 amino acids from the Central region of human FAM180A
- Reactivity
- Human, Mouse
- Host
- Rabbit
- Vial size
- 0.1 mg
- Concentration
- 0.25 mg/ml
No comments: Submit comment
Supportive validation
- Submitted by
- Acris Antibodies GmbH (provider)
- Main image

- Experimental details
- Western blot analysis of FAM180A Antibody (Center) Cat.-No AP51561PU-N in mouse liver,spleen,kidney tissue lysates (35ug/lane). This demonstrates the FAM180A antibody detected the FAM180A protein (arrow).
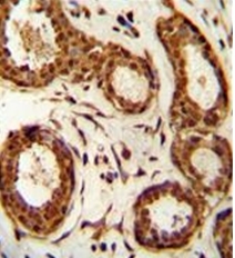
Supportive validation
- Submitted by
- Acris Antibodies GmbH (provider)
- Main image

- Experimental details
- Formalin fixed and paraffin embedded human breast tissue reacted with FAM180A Antibody (Center) Cat.-No AP51561PU-N followed by peroxidase conjugation of the secondary antibody and DAB staining.