Antibody data
- Antibody Data
- Antigen structure
- References [0]
- Comments [0]
- Validations
- Immunohistochemistry [4]
Submit
Validation data
Reference
Comment
Report error
- Product number
- PA5-53219 - Provider product page 
- Provider
- Invitrogen Antibodies
- Product name
- CALHM2 Polyclonal Antibody
- Antibody type
- Polyclonal
- Antigen
- Recombinant protein fragment
- Description
- Immunogen sequence: RGEAYVCALS EFVDPSSLTA REEHFPSAHA TEILARFPCK ENPDNLSDFR EEVSRRLRYE SQ Highest antigen sequence identity to the following orthologs: Mouse - 82%, Rat - 84%.
- Reactivity
- Human, Mouse, Rat
- Host
- Rabbit
- Isotype
- IgG
- Vial size
- 100 μL
- Concentration
- 0.1 mg/mL
- Storage
- Store at 4°C short term. For long term storage, store at -20°C, avoiding freeze/thaw cycles.
				No comments: Submit comment	
	
			
							
					Supportive validation
					
									
				
		- Submitted by
- Invitrogen Antibodies (provider)
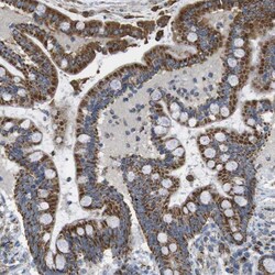
- Main image
 
- Experimental details
- Immunohistochemical analysis of CALHM2 in human colon using CALHM2 Polyclonal Antibody (Product # PA5-53219) shows strong cytoplasmic positivity in glandular cells.
- Submitted by
- Invitrogen Antibodies (provider)
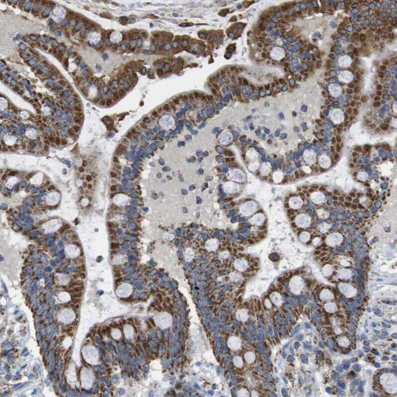
- Main image
 
- Experimental details
- Immunohistochemical analysis of CALHM2 in human liver using CALHM2 Polyclonal Antibody (Product # PA5-53219) shows no positivity in hepatocytes as expected.
- Submitted by
- Invitrogen Antibodies (provider)
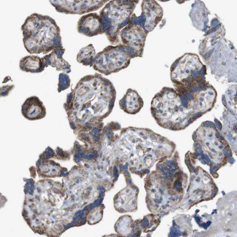
- Main image
 
- Experimental details
- Immunohistochemical analysis of CALHM2 in human placenta using CALHM2 Polyclonal Antibody (Product # PA5-53219) shows strong cytoplasmic positivity in trophoblastic cells.
- Submitted by
- Invitrogen Antibodies (provider)
- Main image
 
- Experimental details
- Immunohistochemical analysis of CALHM2 in human cerebellum using CALHM2 Polyclonal Antibody (Product # PA5-53219) shows strong cytoplasmic positivity in Purkinje cells.