Antibody data
- Antibody Data
- Antigen structure
- References [0]
- Comments [0]
- Validations
- Western blot [2]
- Immunocytochemistry [1]
- Immunohistochemistry [1]
- Flow cytometry [1]
Submit
Validation data
Reference
Comment
Report error
- Product number
- F54360 - Provider product page

- Provider
- NSJ Bioreagents
- Product name
- Carboxypeptidase B Antibody / CPB1
- Antibody type
- Polyclonal
- Description
- This highly specific Carboxypeptidase B antibody is suitable for use in Flow cytometry/Western blot/Immunohistochemistry/Immunofluorescence applications with human samples.
- Reactivity
- Human
- Host
- Rabbit
- Conjugate
- Unconjugated
- Vial size
- 0.08 ml, 0.4 ml
- Concentration
- In 1X PBS, pH 7.4, with 0.09% sodium azide
- Storage
- Aliquot the Carboxypeptidase B antibody and store frozen at -20oC or colder. Avoid repeated freeze-thaw cycles.
No comments: Submit comment
Supportive validation
- Submitted by
- NSJ Bioreagents (provider)
- Main image

- Experimental details
- Western blot testing of human pancreas lysate with Carboxypeptidase B antibody. Predicted molecular weight ~45 kDa.
- Submitted by
- NSJ Bioreagents (provider)
- Main image

- Experimental details
- Western blot testing of human 1) K562 and 2) HeLa cell lysate with Carboxypeptidase B antibody. Predicted molecular weight ~45 kDa.
Supportive validation
- Submitted by
- NSJ Bioreagents (provider)
- Main image

- Experimental details
- Immunofluorescent staining of fixed and permeabilized human HeLa cells with Carboxypeptidase B antibody (green) and DAPI nuclear stain (blue).
Supportive validation
- Submitted by
- NSJ Bioreagents (provider)
- Main image

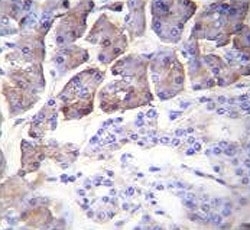
- Experimental details
- IHC testing of FFPE human pancreas tissue with Carboxypeptidase B antibody. HIER: steam section in pH6 citrate buffer for 20 min and allow to cool prior to staining.
Supportive validation
- Submitted by
- NSJ Bioreagents (provider)
- Main image

- Experimental details
- Flow cytometry testing of fixed and permeabilized human HeLa cells with Carboxypeptidase B antibody; Blue=isotype control, Green= Carboxypeptidase B antibody.