NBP1-87359
antibody from Novus Biologicals
Targeting: GATAD2A
p66alpha
Antibody data
- Antibody Data
- Antigen structure
- References [2]
- Comments [0]
- Validations
- Western blot [3]
- Immunohistochemistry [10]
Submit
Validation data
Reference
Comment
Report error
- Product number
- NBP1-87359 - Provider product page

- Provider
- Novus Biologicals
- Proper citation
- Novus Cat#NBP1-87359, RRID:AB_11032785
- Product name
- Rabbit Polyclonal p66 alpha Antibody
- Antibody type
- Polyclonal
- Description
- Immunogen affinity purified. Specificity of human p66 alpha antibody verified on a Protein Array containing target protein plus 383 other non-specific proteins.
- Reactivity
- Human, Mouse, Rat
- Host
- Rabbit
- Isotype
- IgG
- Vial size
- 0.1 ml
- Storage
- Store at 4C short term. Aliquot and store at -20C long term. Avoid freeze-thaw cycles.
Submitted references TRF1 averts chromatin remodelling, recombination and replication dependent-break induced replication at mouse telomeres.
Physical and functional interactions between the histone H3K4 demethylase KDM5A and the nucleosome remodeling and deacetylase (NuRD) complex.
Porreca RM, Herrera-Moyano E, Skourti E, Law PP, Gonzalez Franco R, Montoya A, Faull P, Kramer H, Vannier JB
eLife 2020 Jan 14;9
eLife 2020 Jan 14;9
Physical and functional interactions between the histone H3K4 demethylase KDM5A and the nucleosome remodeling and deacetylase (NuRD) complex.
Nishibuchi G, Shibata Y, Hayakawa T, Hayakawa N, Ohtani Y, Sinmyozu K, Tagami H, Nakayama J
The Journal of biological chemistry 2014 Oct 17;289(42):28956-70
The Journal of biological chemistry 2014 Oct 17;289(42):28956-70
No comments: Submit comment
Supportive validation
- Submitted by
- Novus Biologicals (provider)
- Main image

- Experimental details
- Western Blot: p66 alpha Antibody [NBP1-87359] - Analysis in mouse cell line NIH-3T3 and rat cell line NBT-II.
- Submitted by
- Novus Biologicals (provider)
- Main image

- Experimental details
- Western Blot: p66 alpha Antibody [NBP1-87359] - Analysis in human cell line K562.
- Submitted by
- Novus Biologicals (provider)
- Main image

- Experimental details
- Western Blot: p66 alpha Antibody [NBP1-87359] - Analysis using Anti-GATAD2A antibody NBP1-87359 (A) shows similar pattern to independent antibody NBP1-87360 (B).
Supportive validation
- Submitted by
- Novus Biologicals (provider)
- Main image

- Experimental details
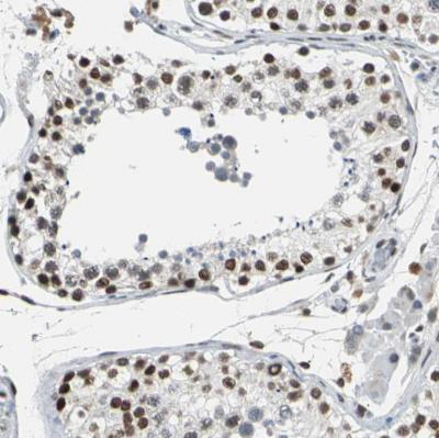
- Immunohistochemistry-Paraffin: p66 alpha Antibody [NBP1-87359] - Staining of human testis.
- Submitted by
- Novus Biologicals (provider)
- Main image

- Experimental details
- Immunohistochemistry-Paraffin: p66 alpha Antibody [NBP1-87359] - Staining of human placenta.
- Submitted by
- Novus Biologicals (provider)
- Main image

- Experimental details
- Immunohistochemistry-Paraffin: p66 alpha Antibody [NBP1-87359] - Staining of human colon.
- Submitted by
- Novus Biologicals (provider)
- Main image

- Experimental details
- Immunohistochemistry-Paraffin: p66 alpha Antibody [NBP1-87359] - Staining of human lymph node.
- Submitted by
- Novus Biologicals (provider)
- Main image

- Experimental details
- Immunohistochemistry-Paraffin: p66 alpha Antibody [NBP1-87359] - Staining of human placenta.
- Submitted by
- Novus Biologicals (provider)
- Main image

- Experimental details
- Immunohistochemistry-Paraffin: p66 alpha Antibody [NBP1-87359] - Staining of human testis shows strong nuclear positivity in cells in seminiferous ducts.
- Submitted by
- Novus Biologicals (provider)
- Main image

- Experimental details
- Immunohistochemistry-Paraffin: p66 alpha Antibody [NBP1-87359] - Staining of human skeletal muscle shows very weak positivity in myocytes as expected.
- Submitted by
- Novus Biologicals (provider)
- Main image

- Experimental details
- Immunohistochemistry-Paraffin: p66 alpha Antibody [NBP1-87359] - Staining of human colon shows strong nuclear positivity in glandular cells.
- Submitted by
- Novus Biologicals (provider)
- Main image

- Experimental details
- Immunohistochemistry-Paraffin: p66 alpha Antibody [NBP1-87359] - Staining of human placenta shows trong nuclear positivity in trophoblastic cells.
- Submitted by
- Novus Biologicals (provider)
- Main image

- Experimental details
- Immunohistochemistry-Paraffin: p66 alpha Antibody [NBP1-87359] - Staining of human colon, placenta, skeletal muscle and testis using Anti-p66 alpha antibody NBP1-87359 (A) shows similar protein distribution across tissues to independent antibody NBP1-87360 (B).