Antibody data
- Antibody Data
- Antigen structure
- References [2]
- Comments [0]
- Validations
- Western blot [2]
- Immunohistochemistry [3]
Submit
Validation data
Reference
Comment
Report error
- Product number
- NBP1-83256 - Provider product page

- Provider
- Novus Biologicals
- Proper citation
- Novus Cat#NBP1-83256, RRID:AB_11039768
- Product name
- Rabbit Polyclonal HLTF Antibody
- Antibody type
- Polyclonal
- Description
- Immunogen affinity purified. Specificity of human, mouse, rat HLTF antibody verified on a Protein Array containing target protein plus 383 other non-specific proteins.
- Reactivity
- Human, Mouse, Rat
- Host
- Rabbit
- Isotype
- IgG
- Vial size
- 0.1 ml
- Storage
- Store at 4C short term. Aliquot and store at -20C long term. Avoid freeze-thaw cycles.
Submitted references Helicase-like transcription factor: a new marker of well-differentiated thyroid cancers.
Role of helicase-like transcription factor (hltf) in the G2/m transition and apoptosis in brain.
Arcolia V, Paci P, Dhont L, Chantrain G, Sirtaine N, Decaestecker C, Remmelink M, Belayew A, Saussez S
BMC cancer 2014 Jul 8;14:492
BMC cancer 2014 Jul 8;14:492
Role of helicase-like transcription factor (hltf) in the G2/m transition and apoptosis in brain.
Helmer RA, Foreman O, Dertien JS, Panchoo M, Bhakta SM, Chilton BS
PloS one 2013;8(6):e66799
PloS one 2013;8(6):e66799
No comments: Submit comment
Supportive validation
- Submitted by
- Novus Biologicals (provider)
- Main image

- Experimental details
- Western Blot: HLTF Antibody [NBP1-83256] - Analysis in human cell line HEL.
- Submitted by
- Novus Biologicals (provider)
- Main image

- Experimental details
- Western Blot: HLTF Antibody [NBP1-83256] - Analysis in mouse cell line NIH-3T3 and rat cell line NBT-II.
Supportive validation
- Submitted by
- Novus Biologicals (provider)
- Main image

- Experimental details
- Immunohistochemistry-Paraffin: HLTF Antibody [NBP1-83256] - Staining of human testis shows moderate to strong nuclear positivity in cells in seminiferous ducts.
- Submitted by
- Novus Biologicals (provider)
- Main image

- Experimental details
- Immunohistochemistry-Paraffin: HLTF Antibody [NBP1-83256] - Staining of human skeletal muscle shows no positivity in myocytes as expected.
- Submitted by
- Novus Biologicals (provider)
- Main image

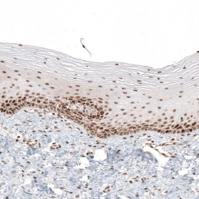
- Experimental details
- Immunohistochemistry-Paraffin: HLTF Antibody [NBP1-83256] - Staining of human cervix, uterine shows moderate to strong nuclear positivity in squamous epithelial cells.