Antibody data
- Antibody Data
- Antigen structure
- References [0]
- Comments [0]
- Validations
- Immunohistochemistry [3]
Submit
Validation data
Reference
Comment
Report error
- Product number
- NBP2-62706 - Provider product page

- Provider
- Novus Biologicals
- Product name
- Rabbit Polyclonal ZNF541 Antibody
- Antibody type
- Polyclonal
- Description
- Protein A purified. Specificity of antibody verified on a Protein Array containing target protein plus 383 other non-specific proteins.
- Reactivity
- Human
- Host
- Rabbit
- Isotype
- IgG
- Vial size
- 100 ul
- Storage
- Store at 4C short term. Aliquot and store at -20C long term. Avoid freeze-thaw cycles.
No comments: Submit comment
Supportive validation
- Submitted by
- Novus Biologicals (provider)
- Main image

- Experimental details
- Immunohistochemistry-Paraffin: ZNF541 Antibody [NBP2-62706] - Staining of human liver shows low expression as expected.
- Submitted by
- Novus Biologicals (provider)
- Main image

- Experimental details
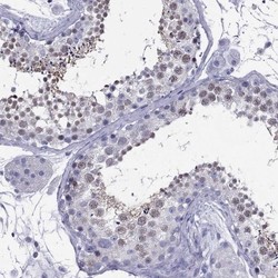
- Immunohistochemistry-Paraffin: ZNF541 Antibody [NBP2-62706] - Staining of human testis shows high expression.
- Submitted by
- Novus Biologicals (provider)
- Main image

- Experimental details
- Immunohistochemistry-Paraffin: ZNF541 Antibody [NBP2-62706] - Analysis in human testis and liver tissues using Anti-ZNF541 antibody. Corresponding ZNF541 RNA-seq data are presented for the same tissues.