Antibody data
- Antibody Data
- Antigen structure
- References [0]
- Comments [0]
- Validations
- Immunohistochemistry [3]
Submit
Validation data
Reference
Comment
Report error
- Product number
- NBP1-90933 - Provider product page

- Provider
- Novus Biologicals
- Proper citation
- Novus Cat#NBP1-90933, RRID:AB_11026078
- Product name
- Rabbit Polyclonal C9orf9 Antibody
- Antibody type
- Polyclonal
- Description
- Immunogen affinity purified. Specificity of human C9orf9 antibody verified on a Protein Array containing target protein plus 383 other non-specific proteins.
- Reactivity
- Human
- Host
- Rabbit
- Isotype
- IgG
- Vial size
- 0.1 ml
- Storage
- Store at 4C short term. Aliquot and store at -20C long term. Avoid freeze-thaw cycles.
No comments: Submit comment
Supportive validation
- Submitted by
- Novus Biologicals (provider)
- Main image

- Experimental details
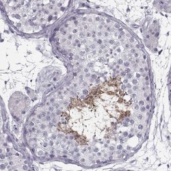
- Immunohistochemistry-Paraffin: C9orf9 Antibody [NBP1-90933] - Staining of human testis shows strong positivity in flagella.
- Submitted by
- Novus Biologicals (provider)
- Main image

- Experimental details
- Immunohistochemistry-Paraffin: C9orf9 Antibody [NBP1-90933] - Staining in human testis and endometrium tissues using anti-SPACA9 antibody. Corresponding SPACA9 RNA-seq data are presented for the same tissues.
- Submitted by
- Novus Biologicals (provider)
- Main image

- Experimental details
- Immunohistochemistry-Paraffin: C9orf9 Antibody [NBP1-90933] - Staining of human endometrium shows low expression as expected.