Antibody data
- Antibody Data
- Antigen structure
- References [0]
- Comments [0]
- Validations
- Immunocytochemistry [2]
- Immunohistochemistry [1]
Submit
Validation data
Reference
Comment
Report error
- Product number
- PA5-64307 - Provider product page

- Provider
- Invitrogen Antibodies
- Product name
- GTF3C5 Polyclonal Antibody
- Antibody type
- Polyclonal
- Antigen
- Recombinant protein fragment
- Description
- Immunogen sequence: HREGYNNPPI SGENLIGLSR ARRPHNAIFV NFEDEEVPKQ PLEAAAQTWR RVCTNPVDRK VEEELRKLFD IRPIWSRNA Highest antigen sequence identity to the following orthologs: Mouse - 86%, Rat - 87%.
- Reactivity
- Human
- Host
- Rabbit
- Isotype
- IgG
- Vial size
- 100 μL
- Concentration
- 0.1 mg/mL
- Storage
- Store at 4°C short term. For long term storage, store at -20°C, avoiding freeze/thaw cycles.
No comments: Submit comment
Supportive validation
- Submitted by
- Invitrogen Antibodies (provider)
- Main image

- Experimental details
- Immunofluorescent staining of GTF3C5 in human cell line HaCaT using a GTF3C5 Polyclonal Antibody (Product # PA5-64307) shows localization to nucleoplasm.
- Submitted by
- Invitrogen Antibodies (provider)
- Main image

- Experimental details
- Immunofluorescent staining of GTF3C5 in human cell line HaCaT using a GTF3C5 Polyclonal Antibody (Product # PA5-64307) shows localization to nucleoplasm.
Supportive validation
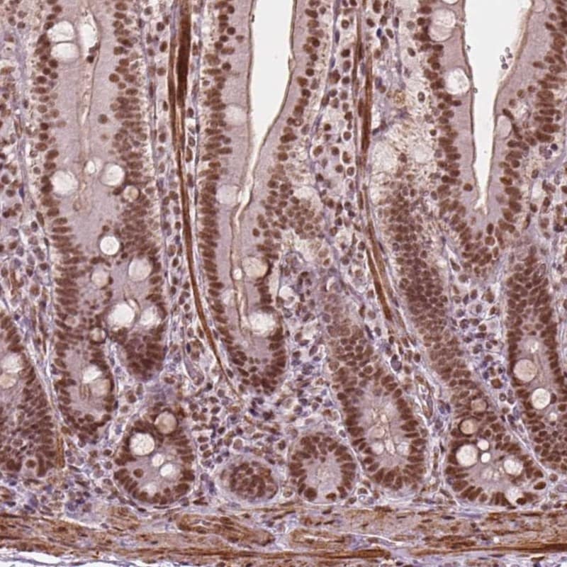
- Submitted by
- Invitrogen Antibodies (provider)
- Main image

- Experimental details
- Immunohistochemical analysis of GTF3C5 in human duodenum using GTF3C5 Polyclonal Antibody (Product # PA5-64307) shows strong nuclear positivity in glandular cells.