Antibody data
- Antibody Data
- Antigen structure
- References [0]
- Comments [0]
- Validations
- Western blot [2]
- Immunoprecipitation [1]
- Immunohistochemistry [4]
Submit
Validation data
Reference
Comment
Report error
- Product number
- NB100-60435 - Provider product page

- Provider
- Novus Biologicals
- Proper citation
- Novus Cat#NB100-60435, RRID:AB_2115255
- Product name
- Rabbit Polyclonal GTF3C5 Antibody
- Antibody type
- Polyclonal
- Description
- Immunogen affinity purified.
- Reactivity
- Human, Mouse
- Host
- Rabbit
- Isotype
- IgG
- Vial size
- 0.1 ml
- Concentration
- 0.2 mg/ml
- Storage
- Store at 4C. Do not freeze.
No comments: Submit comment
Supportive validation
- Submitted by
- Novus Biologicals (provider)
- Main image

- Experimental details
- Western Blot: GTF3C5 Antibody [NB100-60435] - Whole cell lysate from HeLa (5, 15 and 50 ug for WB; 1 mg for IP, 20% of IP loaded), 293T (T; 50 ug), and mouse NIH3T3 (M; 50 ug) cells. NB100-60435 used for WB at 0.04 ug/ml (A) and 1 ug/ml (B) and used for IP at 3 ug/mg lysate.
- Submitted by
- Novus Biologicals (provider)
- Main image

- Experimental details
- Western Blot: GTF3C5 Antibody [NB100-60435] - Detection of human and mouse GTF3C5 by western blot. Samples: Whole cell lysate (50 ug) from HeLa, HEK293T, and mouse NIH 3T3 cells prepared using NETN lysis buffer. Antibody: Affinity purified rabbit anti-GTF3C5 antibody NB100-60435 used for WB at 0.1 ug/ml. Detection: Chemiluminescence with an exposure time of 10 seconds.
Supportive validation
- Submitted by
- Novus Biologicals (provider)
- Main image

- Experimental details
- Immunoprecipitation: GTF3C5 Antibody [NB100-60435] - Detection of human GTF3C5 by western blot of immunoprecipitates. Samples: Whole cell lysate (0.5 or 1.0 mg per IP reaction; 20% of IP loaded) from HEK293T cells prepared using NETN lysis buffer. Antibodies: Affinity purified rabbit anti-GTF3C5 antibody NB100-60435 (lot NB100-60435-2) used for IP at 6 ug per reaction. GTF3C5 was also immunoprecipitated by a previous lot of this antibody (lot NB100-60435-1). For blotting immunoprecipitated GTF3C5, NB100-60435 was used at 0.4 ug/ml. Detection: Chemiluminescence with an exposure time of 10 seconds.
Supportive validation
- Submitted by
- Novus Biologicals (provider)
- Main image

- Experimental details
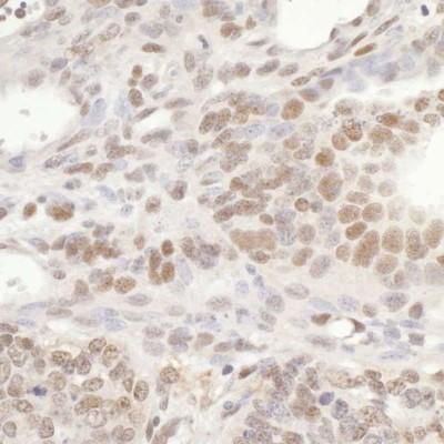
- Immunohistochemistry-Paraffin: GTF3C5 Antibody [NB100-60435] - FFPE section of human thyroid carcinoma. Antibody dilution of 1:500.
- Submitted by
- Novus Biologicals (provider)
- Main image

- Experimental details
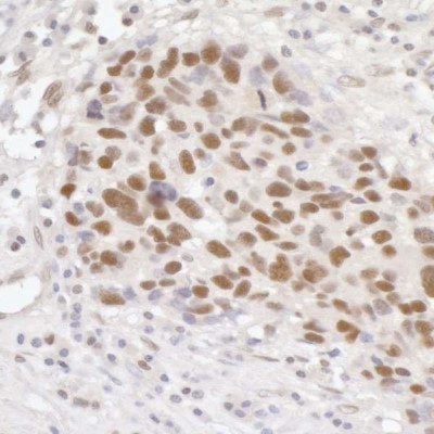
- Immunohistochemistry: GTF3C5 Antibody [NB100-60435] - Detection of human GTF3C5/TFIIIC63 by immunohistochemistry. Sample: FFPE section of human breast carcinoma. Antibody: Affinity purified rabbit anti- GTF3C5/TFIIIC63 (NB100-60435). Detection: DAB
- Submitted by
- Novus Biologicals (provider)
- Main image

- Experimental details
- Immunohistochemistry: GTF3C5 Antibody [NB100-60435] - Detection of mouse GTF3C5/TFIIIC63 by immunohistochemistry. Sample: FFPE section of mouse teratoma. Antibody: Affinity purified rabbit anti- GTF3C5/TFIIIC63 (NB100-60435). Detection: DAB
- Submitted by
- Novus Biologicals (provider)
- Main image

- Experimental details
- Immunohistochemistry: GTF3C5 Antibody [NB100-60435] - Sample: FFPE section of human breast carcinoma (left) and mouse teratoma (right). Antibody: Affinity purified rabbit anti- GTF3C5/TFIIIC63 used at a dilution of 1:500 (0.4ug/ml). Detection: DAB