Antibody data
- Antibody Data
- Antigen structure
- References [0]
- Comments [0]
- Validations
- Western blot [1]
- Immunocytochemistry [1]
- Immunoprecipitation [1]
- Immunohistochemistry [1]
- Flow cytometry [1]
Submit
Validation data
Reference
Comment
Report error
- Product number
- AM26565AF-N - Provider product page

- Provider
- Acris Antibodies GmbH
- Product name
- anti DNA ligase 1
- Antibody type
- Monoclonal
- Antigen
- Human recombinant DNA Ligase I
- Reactivity
- Human, Mouse, Rat
- Host
- Mouse
- Isotype
- IgG
- Antibody clone number
- 5H5
- Vial size
- 0.1 mg
- Concentration
- 1.0 mg/ml
No comments: Submit comment
Supportive validation
- Submitted by
- Acris Antibodies GmbH (provider)
- Main image

- Experimental details
- Western blot analysi s of DNA Li gase I expression in Jurkat cells (1), Raji cell s (2), HL60 cells (3), HeLa cells (4), Â WR19L cells (5) and PC12 cells (6) using AM26565AF-N.
Supportive validation
- Submitted by
- Acris Antibodies GmbH (provider)
- Main image

- Experimental details
- Immunocytochemical detection of DNA Ligase I on acetone fixed HEp-II cells with AM26565AF-N.
Supportive validation
- Submitted by
- Acris Antibodies GmbH (provider)
- Main image

- Experimental details
- Immunoprecipitation of DNA Ligase I from Jurkat cells with AM26565AF-NÂ (1) or mouse IgG1 (2). After immunoprecipitated with the antibody, immunocomplex was resolved on SDS-PAGE and immunoblotted with AM26565AF-N.
Supportive validation
- Submitted by
- Acris Antibodies GmbH (provider)
- Main image

- Experimental details
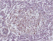
- Immunohistochemical detection of DNA Ligase I on paraffin embedded section of a human breast cancer with AM26565AF-N.
Supportive validation
- Submitted by
- Acris Antibodies GmbH (provider)
- Main image

- Experimental details
- Flow cytometric analysis of DNA Ligase I expression in FM3A cells (right) and Jurkat cells (left). Open histogram indicate the reaction of isotypic control to the cells. Shaded histograms indicate the reaction of AM26565AF-NÂ to the cells.