Antibody data
- Antibody Data
- Antigen structure
- References [2]
- Comments [0]
- Validations
- Western blot [2]
- Immunohistochemistry [1]
Submit
Validation data
Reference
Comment
Report error
- Product number
- NBP1-47354 - Provider product page

- Provider
- Novus Biologicals
- Proper citation
- Novus Cat#NBP1-47354, RRID:AB_10010308
- Product name
- Mouse Monoclonal NPM1 Antibody
- Antibody type
- Monoclonal
- Description
- Unpurified.
- Reactivity
- Human, Simian
- Host
- Mouse
- Isotype
- IgG
- Vial size
- 0.1 ml
- Storage
- Store at 4C short term. Aliquot and store at -20C long term. Avoid freeze-thaw cycles.
Submitted references Optimized protocol for combined PALM-dSTORM imaging.
Non-genotoxic activation of p53 through the RPL11-dependent ribosomal stress pathway.
Glushonkov O, Réal E, Boutant E, Mély Y, Didier P
Scientific reports 2018 Jun 8;8(1):8749
Scientific reports 2018 Jun 8;8(1):8749
Non-genotoxic activation of p53 through the RPL11-dependent ribosomal stress pathway.
Morgado-Palacin L, Llanos S, Urbano-Cuadrado M, Blanco-Aparicio C, Megias D, Pastor J, Serrano M
Carcinogenesis 2014 Dec;35(12):2822-30
Carcinogenesis 2014 Dec;35(12):2822-30
No comments: Submit comment
Supportive validation
- Submitted by
- Novus Biologicals (provider)
- Main image

- Experimental details
- Western Blot: NPM1 Antibody (7H10B9) [NBP1-47354] - Western blot analysis using anti-Acetyl-Histone H3 (Lys9) pAb against NIH/3T3 cell lysate, untreated (1), TSA-treated (2) (to induce acetylation).
- Submitted by
- Novus Biologicals (provider)
- Main image

- Experimental details
- Western Blot: NPM1 Antibody (7H10B9) [NBP1-47354] - Analysis using NPM mouse mAb against SMMC-7721 (1), HepG2 (2), Hela (3) and HEK293 (4) cell lysate.
Supportive validation
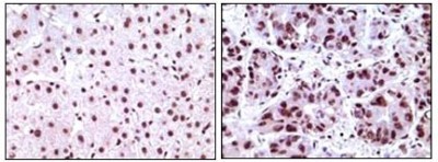
- Submitted by
- Novus Biologicals (provider)
- Main image

- Experimental details
- Immunohistochemistry-Paraffin: NPM1 Antibody (7H10B9) [NBP1-47354] - Analysis of human liver carcinoma tissues, showing nuclear localization using NPM mouse mAb with DAB staining.