Antibody data
- Antibody Data
- Antigen structure
- References [0]
- Comments [0]
- Validations
- Western blot [2]
- Immunohistochemistry [4]
Submit
Validation data
Reference
Comment
Report error
- Product number
- SM6037 - Provider product page

- Provider
- OriGene
- Product name
- Nucleophosmin (NPM1) (81-294) mouse monoclonal antibody, clone 5E3, Purified
- Antibody type
- Monoclonal
- Description
- Nucleophosmin (NPM1) (81-294) mouse monoclonal antibody, clone 5E3, Purified
- Host
- Mouse
- Conjugate
- Unconjugated
- Epitope
- NPM1
- Isotype
- IgG
- Antibody clone number
- 5E3
- Vial size
- 100 µl
- Concentration
- 1.0 mg/ml
No comments: Submit comment
Supportive validation
- Submitted by
- OriGene (provider)
- Main image

- Experimental details
- Western blot analysis: HeLa and HepG2 cell lysates (5 ug) were resolved by SDS-PAGE, transferred to PVDF membrane and probed with anti-human NPM antibody (1/1000). Proteins were visualized using a goat anti-mouse secondary antibody conjugated to HRP and an ECL detection system.
- Validation comment
- WB
- Submitted by
- OriGene (provider)
- Main image

- Experimental details
- The HeLa and HepG2 cell lysates (5ug) were resolved by SDS-PAGE, transferred to PVDF membrane and probed with anti-human NPM (1:1,000). Proteins were visualized using a goat anti-mouse secondary antibody conjugated to HRP and an ECL detection system.
- Validation comment
- WB
Supportive validation
- Submitted by
- OriGene (provider)
- Main image

- Experimental details
- This image shows paraffin-embedded human palatine tonsil tissue sample stained with anti-NPM antibody (5E3) at 1:100 dilution.
- Validation comment
- IHC
- Submitted by
- OriGene (provider)
- Main image

- Experimental details
- Immunohistochemistry: NPM antibody staining of Paraffin-Embedded Human Palatine Tonsil Tissue at 1/100 dilution.
- Validation comment
- IHC
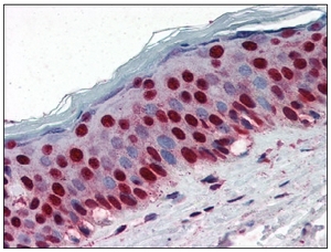
- Submitted by
- OriGene (provider)
- Main image

- Experimental details
- Immunohistochemistry: NPM antibody staining of Formalin-Fixed, Paraffin-Embedded Human Skin at 5 ug/ml followed by biotinylated anti-Mouse IgG secondary antibody, Alkaline Phosphatase-Streptavidin and chromogen.
- Validation comment
- IHC
- Submitted by
- OriGene (provider)
- Main image

- Experimental details
- Immunohistochemistry: NPM antibody staining of Formalin-Fixed, Paraffin-Embedded Human Liver at 5 ug/ml followed by biotinylated anti-Mouse IgG secondary antibody, Alkaline Phosphatase-Streptavidin and chromogen.
- Validation comment
- IHC