Antibody data
- Antibody Data
- Antigen structure
- References [0]
- Comments [0]
- Validations
- Immunocytochemistry [2]
- Immunohistochemistry [1]
Submit
Validation data
Reference
Comment
Report error
- Product number
- SP4179P - Provider product page 
- Provider
- OriGene
- Product name
- GPR105 (P2RY14) (C-term) rabbit polyclonal antibody, Aff - Purified
- Antibody type
- Polyclonal
- Description
- GPR105 (P2RY14) (C-term) rabbit polyclonal antibody, Aff - Purified
- Host
- Rabbit
- Conjugate
- Unconjugated
- Epitope
- P2RY14
- Antibody clone number
- NULL
- Vial size
- 50 µg
- Concentration
- 1 mg/ml
				No comments: Submit comment	
	
			
							
					Supportive validation
					
									
				
				- Submitted by
- OriGene (provider)
- Main image
 
- Experimental details
- Cells expressing vector only - immunostained with target antibody
- Validation comment
- IF
- Submitted by
- OriGene (provider)
- Main image
 
- Experimental details
- Cells expressing target protein - immunostained with target antibody
- Validation comment
- IF
							
					Supportive validation
					
									
				
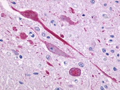
		- Submitted by
- OriGene (provider)
- Main image
 
- Experimental details
- Immunohistochemical staining of Brain (Neurons and glia) using anti- P2RY14 antibody
- Validation comment
- IHC