Antibody data
- Antibody Data
- Antigen structure
- References [0]
- Comments [0]
- Validations
- Immunohistochemistry [5]
Submit
Validation data
Reference
Comment
Report error
- Product number
- LS-C830115 - Provider product page 
- Provider
- LSBio
- Product name
- P2RY14 / GPR105 Antibody LS-C830115
- Antibody type
- Polyclonal
- Description
- Antigen Affinity purification
- Reactivity
- Human
- Host
- Rabbit
- Isotype
- IgG
- Storage
- Store at -20°C. Avoid freeze-thaw cycles.
				No comments: Submit comment	
	
			
							
					Supportive validation
					
									
				
		- Submitted by
- LSBio (provider)
- Enhanced method
- Genetic validation
- Main image
 
- Experimental details
- Immunohistochemistry of paraffin-embedded Human cervical cancer tissue using P2RY14 Polyclonal Antibody at dilution of 1:25(×200)
- Submitted by
- LSBio (provider)
- Enhanced method
- Genetic validation
- Main image
 
- Experimental details
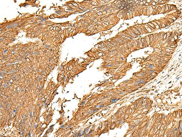
- Immunohistochemistry of paraffin-embedded Human colorectal cancer tissue using P2RY14 Polyclonal Antibody at dilution of 1:25(×200)
- Submitted by
- LSBio (provider)
- Enhanced method
- Genetic validation
- Main image
 
- Experimental details
- Immunohistochemistry of paraffin-embedded Human colorectal cancer tissue using P2RY14 Polyclonal Antibody at dilution of 1:25(×200)
- Submitted by
- LSBio (provider)
- Enhanced method
- Genetic validation
- Main image
 
- Experimental details
- Immunohistochemistry of paraffin-embedded Human colorectal cancer tissue using P2RY14 Polyclonal Antibody at dilution of 1:25(×200)
- Submitted by
- LSBio (provider)
- Enhanced method
- Genetic validation
- Main image
 
- Experimental details
- Immunohistochemistry of paraffin-embedded Human cervical cancer tissue using P2RY14 Polyclonal Antibody at dilution of 1:25(×200)