Antibody data
- Antibody Data
- Antigen structure
- References [2]
- Comments [0]
- Validations
- Immunohistochemistry [6]
Submit
Validation data
Reference
Comment
Report error
- Product number
- NLS1580 - Provider product page 
- Provider
- Novus Biologicals
- Proper citation
- Novus Cat#NLS1580, RRID:AB_2113568
- Product name
- Rabbit Polyclonal GPR87 Antibody
- Antibody type
- Polyclonal
- Description
- Immunogen affinity purified. Human GPR87. BLAST analysis of the peptide immunogen showed no homology with other human proteins.
- Reactivity
- Human, Simian
- Host
- Rabbit
- Isotype
- IgG
- Vial size
- 0.05 ml
- Concentration
- 1.0 mg/ml
- Storage
- Store at 4C short term. Aliquot and store at -20C long term. Avoid freeze-thaw cycles.
Submitted references		GPR87 is an overexpressed G-protein coupled receptor in squamous cell carcinoma of the lung.
				
GPR87 is an overexpressed G-protein coupled receptor in squamous cell carcinoma of the lung.
				
		
	
			Gugger M, White R, Song S, Waser B, Cescato R, Rivière P, Reubi JC
Disease markers 2008;24(1):41-50
		Disease markers 2008;24(1):41-50
GPR87 is an overexpressed G-protein coupled receptor in squamous cell carcinoma of the lung.
			Gugger M, White R, Song S, Waser B, Cescato R, Rivière P, Reubi JC
Disease markers 2008;24(1):41-50
		Disease markers 2008;24(1):41-50
				No comments: Submit comment	
	
			
							
					Supportive validation
					
									
				
		- Submitted by
- Novus Biologicals (provider)
- Main image
 
- Experimental details
- Immunohistochemistry-Paraffin: GPR87 Antibody [NLS1580] - Analysis of anti-GPR87 antibody with human prostate, epithelium.
- Submitted by
- Novus Biologicals (provider)
- Main image
 
- Experimental details
- Immunohistochemistry-Paraffin: GPR87 Antibody [NLS1580] - Analysis of anti-GPR87 antibody with human prostate, carcinoma.
- Submitted by
- Novus Biologicals (provider)
- Main image
 
- Experimental details
- Immunohistochemistry-Paraffin: GPR87 Antibody [NLS1580] - Anti-GPR87 antibody IHC of human Prostate, Carcinoma. Immunohistochemistry of formalin-fixed, paraffin-embedded tissue after heat-induced antigen retrieval.
- Submitted by
- Novus Biologicals (provider)
- Main image
 
- Experimental details
- Immunohistochemistry-Paraffin: GPR87 Antibody [NLS1580] - Human Prostate
- Submitted by
- Novus Biologicals (provider)
- Main image
 
- Experimental details
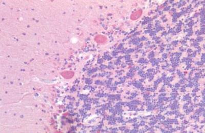
- Immunohistochemistry-Paraffin: GPR87 Antibody [NLS1580] - Human Brain, Cerebellum
- Submitted by
- Novus Biologicals (provider)
- Main image
 
- Experimental details
- Immunohistochemistry-Paraffin: GPR87 Antibody [NLS1580] - Human Uterus