Antibody data
- Antibody Data
- Antigen structure
- References [0]
- Comments [0]
- Validations
- Western blot [1]
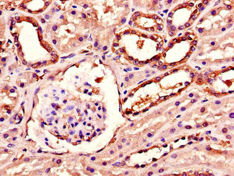
- Immunohistochemistry [2]
Submit
Validation data
Reference
Comment
Report error
- Product number
- LS-C501029 - Provider product page

- Provider
- LSBio
- Product name
- AGK Antibody LS-C501029
- Antibody type
- Polyclonal
- Description
- Protein G purified
- Reactivity
- Human, Mouse
- Host
- Rabbit
- Isotype
- IgG
- Storage
- Short term: -20°C; Long term: -80°C; Avoid freeze-thaw cycles.
No comments: Submit comment
Enhanced validation
- Submitted by
- LSBio (provider)
- Enhanced method
- Genetic validation
- Main image

- Experimental details
- Positive WB detected in:Mouse brain tissue,Mouse kidney tissue,Mouse stomach tissue;All lanes: AGK antibody at 3ug/ml;Secondary;Goat polyclonal to rabbit IgG at 1/50000 dilution;Predicted band size: 48,8 kDa;Observed band size: 48 kDa;
Supportive validation
- Submitted by
- LSBio (provider)
- Enhanced method
- Genetic validation
- Main image

- Experimental details
- Immunohistochemistry of paraffin-embedded human brain tissue using AGK Antibody at dilution of 1:100
- Submitted by
- LSBio (provider)
- Enhanced method
- Genetic validation
- Main image

- Experimental details
- Immunohistochemistry of paraffin-embedded human kidney tissue using AGK Antibody at dilution of 1:100