Antibody data
- Antibody Data
- Antigen structure
- References [3]
- Comments [0]
- Validations
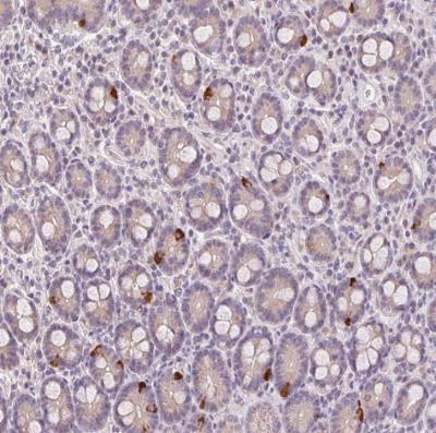
- Immunohistochemistry [1]
Submit
Validation data
Reference
Comment
Report error
- Product number
- NBP1-90171 - Provider product page

- Provider
- Novus Biologicals
- Proper citation
- Novus Cat#NBP1-90171, RRID:AB_11010907
- Product name
- Rabbit Polyclonal A-Myb Antibody
- Antibody type
- Polyclonal
- Description
- Immunogen affinity purified. Specificity of human A-Myb antibody verified on a Protein Array containing target protein plus 383 other non-specific proteins.
- Reactivity
- Human, Mouse
- Host
- Rabbit
- Isotype
- IgG
- Vial size
- 0.1 ml
- Storage
- Store at 4C short term. Aliquot and store at -20C long term. Avoid freeze-thaw cycles.
Submitted references Trim33 Binds and Silences a Class of Young Endogenous Retroviruses in the Mouse Testis; a Novel Component of the Arms Race between Retrotransposons and the Host Genome.
Profiling post-centrifugation delay of serum and plasma with antibody bead arrays.
A-MYB (MYBL1) stimulates murine testis-specific Ldhc expression via the cAMP-responsive element (CRE) site.
Isbel L, Srivastava R, Oey H, Spurling A, Daxinger L, Puthalakath H, Whitelaw E
PLoS genetics 2015 Dec;11(12):e1005693
PLoS genetics 2015 Dec;11(12):e1005693
Profiling post-centrifugation delay of serum and plasma with antibody bead arrays.
Qundos U, Hong MG, Tybring G, Divers M, Odeberg J, Uhlen M, Nilsson P, Schwenk JM
Journal of proteomics 2013 Dec 16;95:46-54
Journal of proteomics 2013 Dec 16;95:46-54
A-MYB (MYBL1) stimulates murine testis-specific Ldhc expression via the cAMP-responsive element (CRE) site.
Tang H, Goldberg E
Biology of reproduction 2012 Feb;86(2):30
Biology of reproduction 2012 Feb;86(2):30
No comments: Submit comment
Supportive validation
- Submitted by
- Novus Biologicals (provider)
- Main image

- Experimental details
- Immunohistochemistry-Paraffin: A-Myb Antibody [NBP1-90171] - Staining of human small intestine shows strong cytoplasmic positivity in glandular cells.