Antibody data
- Antibody Data
- Antigen structure
- References [1]
- Comments [0]
- Validations
- Immunohistochemistry [5]
Submit
Validation data
Reference
Comment
Report error
- Product number
- NBP1-86125 - Provider product page

- Provider
- Novus Biologicals
- Proper citation
- Novus Cat#NBP1-86125, RRID:AB_11014095
- Product name
- Rabbit Polyclonal Secretin R Antibody
- Antibody type
- Polyclonal
- Description
- Immunogen affinity purified. Specificity of human Secretin R antibody verified on a Protein Array containing target protein plus 383 other non-specific proteins.
- Reactivity
- Human
- Host
- Rabbit
- Isotype
- IgG
- Vial size
- 0.1 ml
- Storage
- Store at 4C short term. Aliquot and store at -20C long term. Avoid freeze-thaw cycles.
Submitted references Combination of secretin and fluvastatin ameliorates the polyuria associated with X-linked nephrogenic diabetes insipidus in mice.
Procino G, Milano S, Carmosino M, Barbieri C, Nicoletti MC, Li JH, Wess J, Svelto M
Kidney international 2014 Jul;86(1):127-38
Kidney international 2014 Jul;86(1):127-38
No comments: Submit comment
Supportive validation
- Submitted by
- Novus Biologicals (provider)
- Main image

- Experimental details
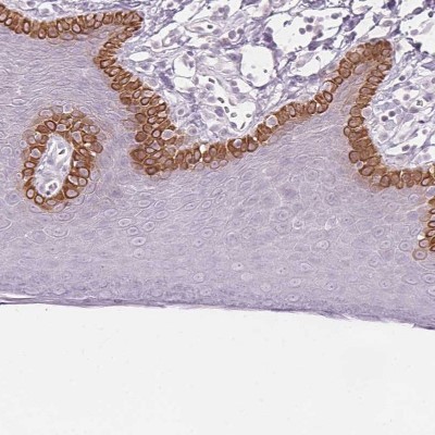
- Immunohistochemistry-Paraffin: Secretin R Antibody [NBP1-86125] - Staining of human skin shows strong cytoplasmic and membranous positivity in epidermal cells.
- Submitted by
- Novus Biologicals (provider)
- Main image

- Experimental details
- Immunohistochemistry-Paraffin: Secretin R Antibody [NBP1-86125] - Staining of human pancreas shows strong membranous positivity in interlobular ducts.
- Submitted by
- Novus Biologicals (provider)
- Main image

- Experimental details
- Immunohistochemistry-Paraffin: Secretin R Antibody [NBP1-86125] - Staining of human skeletal muscle shows no positivity in myocytes as expected.
- Submitted by
- Novus Biologicals (provider)
- Main image

- Experimental details
- Immunohistochemistry-Paraffin: Secretin R Antibody [NBP1-86125] - Staining of human skin shows strong membranous positivity in squamous epithelial cells.
- Submitted by
- Novus Biologicals (provider)
- Main image

- Experimental details
- Immunohistochemistry-Paraffin: Secretin R Antibody [NBP1-86125] - Staining of human stomach shows strong membranous positivity in glandular cells.