Antibody data
- Antibody Data
- Antigen structure
- References [0]
- Comments [0]
- Validations
- Western blot [1]
- Immunohistochemistry [3]
Submit
Validation data
Reference
Comment
Report error
- Product number
- NB100-68220 - Provider product page

- Provider
- Novus Biologicals
- Proper citation
- Novus Cat#NB100-68220, RRID:AB_1111392
- Product name
- Rabbit Polyclonal ZHX3 Antibody
- Antibody type
- Polyclonal
- Description
- Immunogen affinity purified.
- Reactivity
- Human
- Host
- Rabbit
- Isotype
- IgG
- Vial size
- 0.1 ml
- Concentration
- 0.2 mg/ml
- Storage
- Store at 4C. Do not freeze.
No comments: Submit comment
Supportive validation
- Submitted by
- Novus Biologicals (provider)
- Main image

- Experimental details
- Western Blot: ZHX3 Antibody [NB100-68220] - Detection of Human ZHX3 on HeLa whole cell lysate using NB100-68220. ZHX3 was also immunoprecipitated by rabbit anti-ZHX3 antibody NB100-68219.
Supportive validation
- Submitted by
- Novus Biologicals (provider)
- Main image

- Experimental details
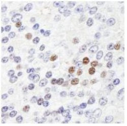
- Immunohistochemistry-Paraffin: ZHX3 Antibody [NB100-68220] - FFPE section of human prostate carcinoma. Affinity purified rabbit anti-ZHX3 used at a dilution of 1:500. Detection: DAB staining using Immunohistochemistry Accessory Kit
- Submitted by
- Novus Biologicals (provider)
- Main image

- Experimental details
- Immunohistochemistry-Paraffin: ZHX3 Antibody [NB100-68220] - FFPE section of human breast carcinoma. Affinity purified rabbit anti-ZHX3 used at a dilution of 1:500. Detection: DAB staining using Immunohistochemistry Accessory Kit
- Submitted by
- Novus Biologicals (provider)
- Main image

- Experimental details
- Immunohistochemistry: ZHX3 Antibody [NB100-68220] - Sample: FFPE section of human prostate carcinoma. Antibody: Affinity purified rabbit anti- ZHX3 used at a dilution of 1:1,000 (0.2ug/ml). Detection: DAB