Antibody data
- Antibody Data
- Antigen structure
- References [0]
- Comments [0]
- Validations
- Western blot [1]
- Immunohistochemistry [2]
Submit
Validation data
Reference
Comment
Report error
- Product number
- ARP35830_P050 - Provider product page

- Provider
- Aviva Systems Biology
- Proper citation
- Aviva Systems Biology Cat#ARP35830_P050, RRID:AB_2048856
- Product name
- VEZF1 antibody - middle region (ARP35830_P050)
- Antibody type
- Polyclonal
- Antigen
- The immunogen is a synthetic peptide directed towards the middle region of human VEZF1
- Description
- Affinity Purified
- Reactivity
- Human, Mouse, Rat, Bovine, Canine, Guinea Pig, Horse, Rabbit, Zebrafish
- Host
- Rabbit
- Vial size
- 100 μl
- Concentration
- Liquid. Purified antibody supplied in 1x PBS buffer with 0.09% (w/v) sodium azide and 2% sucrose.
- Storage
- For short term use, store at 2-8C up to 1 week. For long term storage, store at -20C in small aliquots to prevent freeze-thaw cycles.
No comments: Submit comment
Supportive validation
- Submitted by
- Aviva Systems Biology (provider)
- Main image

- Experimental details
- Host: RabbitTarget Name: VEZF1Sample Tissue: Human Adult PlacentaAntibody Dilution: 1.0µg/ml
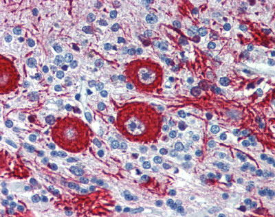
Supportive validation
- Submitted by
- Aviva Systems Biology (provider)
- Main image

- Experimental details
- Immunohistochemistry staining of Human Brain with Anti-VEZF1 antibody
- Sample type
- Human Brain
- Validation comment
- This location is supported by literature
- Primary Ab dilution
- 4.0-8.3187
- Secondary Ab
- Secondary Ab
- Secondary Ab dilution
- 0.5ug/mL 0.2ug/mL
- Protocol
- Protocol
- Submitted by
- Aviva Systems Biology (provider)
- Main image

- Experimental details
- Immunohistochemistry staining of Human Brain with Anti-VEZF1 antibody
- Sample type
- Human Brain
- Validation comment
- This location is supported by literature
- Primary Ab dilution
- 4.0-8.3188
- Secondary Ab
- Secondary Ab
- Secondary Ab dilution
- 0.5ug/mL 0.2ug/mL
- Protocol
- Protocol