Antibody data
- Antibody Data
 - Antigen structure
 - References [0]
 - Comments [0]
 - Validations
 - Western blot [1]
 - Immunohistochemistry [4]
 
Submit
Validation data
Reference
Comment
Report error
- Product number
 - NBP1-88626 - Provider product page

 - Provider
 - Novus Biologicals
 - Proper citation
 - Novus Cat#NBP1-88626, RRID:AB_11028287
 - Product name
 - Rabbit Polyclonal Mxi1 Antibody
 - Antibody type
 - Polyclonal
 - Description
 - Immunogen affinity purified. Specificity of human Mxi1 antibody verified on a Protein Array containing target protein plus 383 other non-specific proteins.
 - Reactivity
 - Human
 - Host
 - Rabbit
 - Isotype
 - IgG
 - Vial size
 - 0.1 ml
 - Storage
 - Store at 4C short term. Aliquot and store at -20C long term. Avoid freeze-thaw cycles.
 
				No comments: Submit comment	
	
			
							
					Supportive validation
					
									
				
				- Submitted by
 - Novus Biologicals (provider)
 - Main image
 
- Experimental details
 - Western Blot: Mxi1 Antibody [NBP1-88626] - Analysis in control (vector only transfected HEK293T lysate) and MXI1 over-expression lysate (Co-expressed with a C-terminal myc-DDK tag (3.1 kDa) in mammalian HEK293T cells).
 
							
					Supportive validation
					
									
				
		- Submitted by
 - Novus Biologicals (provider)
 - Main image
 
- Experimental details
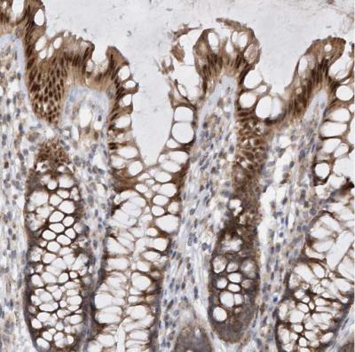
 - Immunohistochemistry-Paraffin: Mxi1 Antibody [NBP1-88626] - Staining of human colon shows moderate to strong nuclear positivity in glandular cells.
 
- Submitted by
 - Novus Biologicals (provider)
 - Main image
 
- Experimental details
 - Immunohistochemistry-Paraffin: Mxi1 Antibody [NBP1-88626] - Staining of human skin shows moderate to strong nuclear positivity in epidermal cells.
 
- Submitted by
 - Novus Biologicals (provider)
 - Main image
 
- Experimental details
 - Immunohistochemistry-Paraffin: Mxi1 Antibody [NBP1-88626] - Staining of human testis shows moderate to strong nuclear positivity in cells in seminiferous ducts.
 
- Submitted by
 - Novus Biologicals (provider)
 - Main image
 
- Experimental details
 - Immunohistochemistry-Paraffin: Mxi1 Antibody [NBP1-88626] - Staining of human cerebral cortex shows moderate to strong nuclear positivity in neurons.