Antibody data
- Antibody Data
- Antigen structure
- References [0]
- Comments [0]
- Validations
- Western blot [1]
- Immunohistochemistry [1]
Submit
Validation data
Reference
Comment
Report error
- Product number
- R34121 - Provider product page

- Provider
- NSJ Bioreagents
- Product name
- Serotonin Receptor 3A Antibody / HTR3A
- Antibody type
- Polyclonal
- Description
- This highly specific Serotonin Receptor 3A antibody is suitable for use in Western blot/Immunohistochemistry/ELISA applications with human and rat samples.
- Reactivity
- Human, Rat
- Host
- Goat
- Conjugate
- Unconjugated
- Vial size
- 100 ug
- Concentration
- 0.5 mg/ml in 1X TBS, pH7.3, with 0.5% BSA (US sourced) and 0.02% sodium azide
- Storage
- Aliquot and store the Serotonin receptor 3A antibody at -20oC.
No comments: Submit comment
Supportive validation
- Submitted by
- NSJ Bioreagents (provider)
- Main image

- Experimental details
- Western blot testing of human colon lysate with Serotonin receptor 3A antibody at 0.3ug/ml. Both the expected 55kDa band and the additional ~200kDa band block with the addition of immunzing peptide.
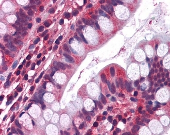
Supportive validation
- Submitted by
- NSJ Bioreagents (provider)
- Main image

- Experimental details
- IHC testing of FFPE human small intestine tissue with Serotonin Receptor 3A antibody at 3.75ug/ml. Required HIER: steamed antigen retrieval with pH6 citrate buffer; AP-staining.