Antibody data
- Antibody Data
- Antigen structure
- References [1]
- Comments [0]
- Validations
- Western blot [1]
- Immunohistochemistry [1]
Submit
Validation data
Reference
Comment
Report error
- Product number
- GTX13897 - Provider product page

- Provider
- GeneTex
- Proper citation
- GeneTex Cat#GTX13897, RRID:AB_367043
- Product name
- 5-HT3A receptor antibody
- Antibody type
- Polyclonal
- Reactivity
- Human, Mouse, Rat
- Host
- Rabbit
Submitted references Hydrophobic photolabeling studies identify the lipid-protein interface of the 5-HT3A receptor.
Sanghvi M, Hamouda AK, Davis MI, Morton RA, Srivastava S, Pandhare A, Duddempudi PK, Machu TK, Lovinger DM, Cohen JB, Blanton MP
Biochemistry 2009 Oct 6;48(39):9278-86
Biochemistry 2009 Oct 6;48(39):9278-86
No comments: Submit comment
Supportive validation
- Submitted by
- GeneTex (provider)
- Main image

- Experimental details
- Western blot analysis of 5-HT3 Receptor in A) human, B) mouse and C) rat brain tissue lysate using 5-HT3 Receptor antibody at 3 μg/ml.
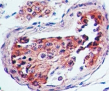
Supportive validation
- Submitted by
- GeneTex (provider)
- Main image

- Experimental details
- IHC analysis of 5-HT3R in human testis using 5-HT3R antibody at 5 μg/ml.