Antibody data
- Antibody Data
- Antigen structure
- References [3]
- Comments [0]
- Validations
- Western blot [1]
- Immunohistochemistry [1]
Submit
Validation data
Reference
Comment
Report error
- Product number
- PAB9945 - Provider product page

- Provider
- Abnova Corporation
- Proper citation
- Abnova Corporation Cat#PAB9945, RRID:AB_1671805
- Product name
- CCNL1 polyclonal antibody
- Antibody type
- Polyclonal
- Antigen
- A synthetic peptide corresponding to amino acids 314-369 of human CCNL1.
- Reactivity
- Human, Mouse, Rat, Canine, Chicken/Avian
- Host
- Rabbit
- Vial size
- 500 μg
- Storage
- Store at 4°C. For long term storage store at -20°C.Aliquot to avoid repeated freezing and thawing.
Submitted references Role of CDK/cyclin complexes in transcription and RNA splicing.
Amplification of Cyclin L1 is associated with lymph node metastases in head and neck squamous cell carcinoma (HNSCC).
Cyclin L2, a novel RNA polymerase II-associated cyclin, is involved in pre-mRNA splicing and induces apoptosis of human hepatocellular carcinoma cells.
Loyer P, Trembley JH, Katona R, Kidd VJ, Lahti JM
Cellular signalling 2005 Sep;17(9):1033-51
Cellular signalling 2005 Sep;17(9):1033-51
Amplification of Cyclin L1 is associated with lymph node metastases in head and neck squamous cell carcinoma (HNSCC).
Sticht C, Hofele C, Flechtenmacher C, Bosch FX, Freier K, Lichter P, Joos S
British journal of cancer 2005 Feb 28;92(4):770-4
British journal of cancer 2005 Feb 28;92(4):770-4
Cyclin L2, a novel RNA polymerase II-associated cyclin, is involved in pre-mRNA splicing and induces apoptosis of human hepatocellular carcinoma cells.
Yang L, Li N, Wang C, Yu Y, Yuan L, Zhang M, Cao X
The Journal of biological chemistry 2004 Mar 19;279(12):11639-48
The Journal of biological chemistry 2004 Mar 19;279(12):11639-48
No comments: Submit comment
Supportive validation
- Submitted by
- Abnova Corporation (provider)
- Main image

- Experimental details
- Western blot using CCNL1 polyclonal antibody (Cat # PAB9945) shows detectionof a band ~59 KDa corresponding to a CCNL1 (arrowhead) present in mouse brain whole cell lysate.Approximately 35 ug of lysate was separated by 4-20% SDS-PAGE followed by transfer to nitrocellulose.After blocking the membrane was probed with the primary antibody diluted to 1 : 3,500 for 2h at room temperature followed by washes and reaction with a 1 : 10,000 dilution of IRDye™800 conjugated Gt-a-RabbitIgG [H&L] MX for 45 min at room temperature.IRDye™800 fluorescence image was captured using the Odyssey® Infrared Imaging System developed by LI-COR.IRDye is a trademark of LI-COR, Inc.
Supportive validation
- Submitted by
- Abnova Corporation (provider)
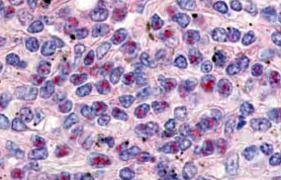
- Main image

- Experimental details
- CCNL1 polyclonal antibody (Cat # PAB9945) was used at a 10 ug/mL to detect CCNL1 in a variety of tissues including breast (collagen), heart, kidney (distal tubules), liver, skeletal muscle, ovary (granulosa and oocyte), pancreas (islet), placenta (trophoblast), prostate (epithelium), skin, spleen (endothelium), stomach (chief), testes (seminiferous epithelium and leydig), thymus (Has-sal's corpuscle and lymphocytes) and uterus (glandular epithelium and stroma).Low to moderate background staining was noted.This image shows CCNL1 staining of human spleen.Tissue was formalin-fixed and paraffin embedded.Personal Communication, Tina Roush, Life Span Biosciences, Seattle, WA.
- Validation comment
- Immunohistochemistry (Formalin/PFA-fixed paraffin-embedded sections)