Antibody data
- Antibody Data
 - Antigen structure
 - References [0]
 - Comments [0]
 - Validations
 - Western blot [4]
 - Immunocytochemistry [3]
 - Immunohistochemistry [8]
 - Other assay [1]
 
Submit
Validation data
Reference
Comment
Report error
- Product number
 - 10727-1-AP - Provider product page

 - Provider
 - Invitrogen Antibodies
 - Product name
 - Ferritin light chain Polyclonal Antibody
 - Antibody type
 - Polyclonal
 - Antigen
 - Other
 - Reactivity
 - Human, Mouse, Rat
 - Host
 - Rabbit
 - Isotype
 - IgG
 - Vial size
 - 150 µL
 - Concentration
 - 0.35 mg/mL
 - Storage
 - -20°C
 
				No comments: Submit comment	
	
			
							
					Supportive validation
					
									
				
				- Submitted by
 - Invitrogen Antibodies (provider)
 - Main image
 
- Experimental details
 - Mouse ovary tissue were subjected to SDS PAGE followed by western blot with 10727-1-AP (Ferritin light chain antibody) at dilution of 1:1000 incubated at room temperature for 1.5 hours.
 
- Submitted by
 - Invitrogen Antibodies (provider)
 - Main image
 
- Experimental details
 - Mouse liver tissue were subjected to SDS PAGE followed by western blot with 10727-1-AP (Ferritin light chain antibody) at dilution of 1:1000 incubated at room temperature for 1.5 hours.
 
- Submitted by
 - Invitrogen Antibodies (provider)
 - Main image
 
- Experimental details
 - Mouse spleen tissue were subjected to SDS PAGE followed by western blot with 10727-1-AP (Ferritin light chain antibody) at dilution of 1:1000 incubated at room temperature for 1.5 hours.
 
- Submitted by
 - Invitrogen Antibodies (provider)
 - Main image
 
- Experimental details
 - Human placenta tissue were subjected to SDS PAGE followed by western blot with 10727-1-AP (Ferritin light chain antibody) at dilution of 1:1000 incubated at room temperature for 1.5 hours.
 
							
					Supportive validation
					
									
				
				- Submitted by
 - Invitrogen Antibodies (provider)
 - Main image
 
- Experimental details
 - Immunofluorescent analysis of HepG2 cells using 10727-1-AP (Ferritin light chain antibody) at dilution of 1:25 and Alexa Fluor 488-conjugated AffiniPure Goat Anti-Rabbit IGG (H+L).
 
- Submitted by
 - Invitrogen Antibodies (provider)
 - Main image
 
- Experimental details
 - Immunofluorescent analysis of HepG2 cells using 10727-1-AP (Ferritin light chain antibody) at dilution of 1:25 and Alexa Fluor 488-conjugated AffiniPure Goat Anti-Rabbit IGG (H+L).
 
- Submitted by
 - Invitrogen Antibodies (provider)
 - Main image
 
- Experimental details
 - Immunofluorescent analysis of (4% PFA) fixed HepG2 cells using Ferritin light chain antibody (Product # 10727-1-AP) at dilution of 1:200 and CoraLite®488-Conjugated AffiniPure Goat Anti-Rabbit IgG(H+L).
 
							
					Supportive validation
					
									
				
				- Submitted by
 - Invitrogen Antibodies (provider)
 - Main image
 
- Experimental details
 - Immunohistochemistry of paraffin-embedded human liver cancer tissue slide using 10727-1-AP ( Ferritin light chain antibody at dilution of 1:200 (under 10x lens).
 
- Submitted by
 - Invitrogen Antibodies (provider)
 - Main image
 
- Experimental details
 - Immunohistochemistry of paraffin-embedded human liver cancer tissue slide using 10727-1-AP ( Ferritin light chain antibody at dilution of 1:200 (under 40x lens).
 
- Submitted by
 - Invitrogen Antibodies (provider)
 - Main image
 
- Experimental details
 - Immunohistochemistry of paraffin-embedded human spleen tissue slide using 10727-1-AP (Ferritin light chain antibody at dilution of 1:50 (under 10x lens).
 
- Submitted by
 - Invitrogen Antibodies (provider)
 - Main image
 
- Experimental details
 - Immunohistochemistry of paraffin-embedded human spleen tissue slide using 10727-1-AP (Ferritin light chain antibody at dilution of 1:50 (under 40x lens).
 
- Submitted by
 - Invitrogen Antibodies (provider)
 - Main image
 
- Experimental details
 - Immunohistochemistry of paraffin-embedded human liver tissue slide using 10727-1-AP (Ferritin light chain antibody at dilution of 1:50 (under 10x lens).
 
- Submitted by
 - Invitrogen Antibodies (provider)
 - Main image
 
- Experimental details
 - Immunohistochemistry of paraffin-embedded human liver tissue slide using 10727-1-AP (Ferritin light chain antibody at dilution of 1:50 (under 40x lens).
 
- Submitted by
 - Invitrogen Antibodies (provider)
 - Main image
 
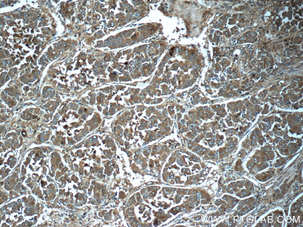
- Experimental details
 - Immunohistochemistry of paraffin-embedded human liver cancer tissue slide using 10727-1-AP (Ferritin light chain antibody at dilution of 1:50 (under 10x lens).
 
- Submitted by
 - Invitrogen Antibodies (provider)
 - Main image
 
- Experimental details
 - Immunohistochemistry of paraffin-embedded human liver cancer tissue slide using 10727-1-AP (Ferritin light chain antibody at dilution of 1:50 (under 40x lens).
 
							
					Supportive validation
					
									
				
		- Submitted by
 - Invitrogen Antibodies (provider)
 - Main image
 
- Experimental details
 - IP result of anti-Ferritin light chain (IP:10727-1-AP, 3ug; Detection:10727-1-AP 1:1000) with mouse liver tissue lysate 12500ug.