Antibody data
- Antibody Data
 - Antigen structure
 - References [0]
 - Comments [0]
 - Validations
 - Western blot [3]
 - Immunohistochemistry [3]
 - Other assay [2]
 
Submit
Validation data
Reference
Comment
Report error
- Product number
 - 2512-MSM1-P1ABX - Provider product page

 - Provider
 - Invitrogen Antibodies
 - Product name
 - Ferritin, Light Chain Monoclonal Antibody (FTL, 1386)
 - Antibody type
 - Monoclonal
 - Antigen
 - Recombinant protein fragment
 - Reactivity
 - Human
 - Host
 - Mouse
 - Isotype
 - IgG
 - Antibody clone number
 - FTL, 1386
 - Vial size
 - 100 µg
 - Concentration
 - 1 mg/mL
 - Storage
 - -20°C or -80°C if preferred
 
				No comments: Submit comment	
	
			
							
					Supportive validation
					
									
				
				- Submitted by
 - Invitrogen Antibodies (provider)
 - Main image
 
- Experimental details
 - Western Blot analysis of A431, HeLa, Liver and Testis lysate using Ferritin, Light Chain Monoclonal Antibody (Product # 2512-MSM1-P1ABX).
 
- Submitted by
 - Invitrogen Antibodies (provider)
 - Main image
 
- Experimental details
 - Western Blot analysis of human HeLa cell lysate using Ferritin, Light Chain Monoclonal Antibody (Product # 2512-MSM1-P1ABX).
 
- Submitted by
 - Invitrogen Antibodies (provider)
 - Main image
 
- Experimental details
 - Western Blot analysis of human kidney tissue lysate using Ferritin, Light Chain Monoclonal Antibody (Product # 2512-MSM1-P1ABX).
 
							
					Supportive validation
					
									
				
				- Submitted by
 - Invitrogen Antibodies (provider)
 - Main image
 
- Experimental details
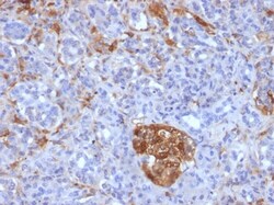
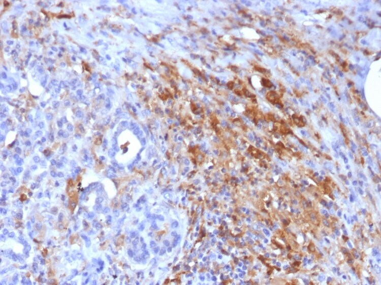
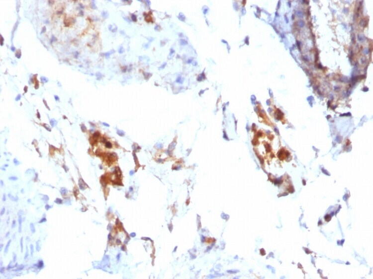
 - Immunohistochemistry (Paraffin) analysis performed in formalin fixed, paraffin-embedded Human pancreas using Ferritin, Light Chain Monoclonal Antibody (Product # 2512-MSM1-P1ABX).
 
- Submitted by
 - Invitrogen Antibodies (provider)
 - Main image
 
- Experimental details
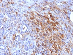
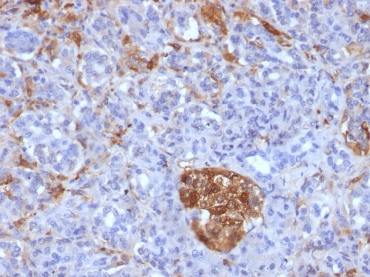
 - Immunohistochemistry (Paraffin) analysis performed in formalin fixed, paraffin-embedded Human pancreas using Ferritin, Light Chain Monoclonal Antibody (Product # 2512-MSM1-P1ABX).
 
- Submitted by
 - Invitrogen Antibodies (provider)
 - Main image
 
- Experimental details
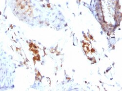
 - Immunohistochemistry (Paraffin) analysis performed in formalin fixed, paraffin-embedded Human testicular carcinoma using Ferritin, Light Chain Monoclonal Antibody (Product # 2512-MSM1-P1ABX).
 
							
					Supportive validation
					
									
				
		- Submitted by
 - Invitrogen Antibodies (provider)
 - Main image
 
- Experimental details
 - Analysis of Protein Array containing more than 19,000 full-length human proteins Ferritin, Light Chain Monoclonal Antibody (Product # 2512-MSM1-P1ABX). Z- and S- Score: The Z-score represents the strength of a signal that a monoclonal antibody (MAb) (in combination with a fluorescently-tagged anti-IgG secondary antibody) produces when binding to a particular protein on the HuProtTM array. Z-scores are described in units of standard deviations (SD's) above the mean value of all signals generated on that array. If targets on HuProtTM are arranged in descending order of the Z-score, the S-score is the difference (also in units of SD's) between the Z-score. S-score therefore represents the relative target specificity of a MAb to its intended target. A MAb is considered to specific to its intended target, if the MAb has an S-score of at least 2.5. For example, if a MAb binds to protein X with a Z-score of 43 and to protein Y with a Z-score of 14, then the S-score for the binding of that MAb to protein X is equal to 29.
 
- Submitted by
 - Invitrogen Antibodies (provider)
 - Main image
 
- Experimental details
 - SDS-PAGE Analyis Purified Ferritin, Light Chain Monoclonal Antibody (Product # 2512-MSM1-P1ABX). Confirmation of Purity and Integrity of Antibody.