Antibody data
- Antibody Data
 - Antigen structure
 - References [0]
 - Comments [0]
 - Validations
 - Western blot [1]
 - Immunohistochemistry [1]
 
Submit
Validation data
Reference
Comment
Report error
- Product number
 - F43605 - Provider product page

 - Provider
 - NSJ Bioreagents
 - Product name
 - HSF1 Antibody
 - Antibody type
 - Polyclonal
 - Description
 - This highly specific HSF1 antibody is suitable for use in Western blot/Immunohistochemistry/ELISA applications with human samples.
 - Reactivity
 - Human
 - Host
 - Rabbit
 - Conjugate
 - Unconjugated
 - Vial size
 - 0.08 ml, 0.4 ml
 - Concentration
 - In 1X PBS, pH 7.4, with 0.09% sodium azide
 - Storage
 - Aliquot the HSF1 antibody and store frozen at -20oC or colder. Avoid repeated freeze-thaw cycles.
 
				No comments: Submit comment	
	
			
							
					Supportive validation
					
									
				
				- Submitted by
 - NSJ Bioreagents (provider)
 - Main image
 
- Experimental details
 - Western blot analysis of HSF1 antibody and 293 cell lysate (2 ug/lane) either nontransfected (Lane 1) or transiently transfected (2) with the HSF1 gene.
 
							
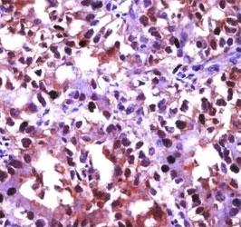
					Supportive validation
					
									
				
		- Submitted by
 - NSJ Bioreagents (provider)
 - Main image
 
- Experimental details
 - HSF1 antibody immunohistochemistry analysis in formalin fixed and paraffin embedded human kidney carcinoma.