Antibody data
- Antibody Data
 - Antigen structure
 - References [0]
 - Comments [0]
 - Validations
 - Immunohistochemistry [1]
 
Submit
Validation data
Reference
Comment
Report error
- Product number
 - sc-48779 - Provider product page

 - Provider
 - Santa Cruz Biotechnology
 - Proper citation
 - Santa Cruz Biotechnology Cat#sc-48779, RRID:AB_2271759
 - Product name
 - Anti-THRAP3
 - Antibody type
 - Polyclonal
 - Reactivity
 - Human
 - Host
 - Rabbit
 
				No comments: Submit comment	
	
			
							
					Supportive validation
					
									
				
		- Submitted by
 - per
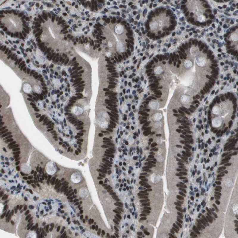
 - Main image
 
- Experimental details
 - Immunohistochemical staining of human duodenum shows strong nuclear positivity in glandular cells.
 - Validation comment
 - Two independent antibodies targeting one protein yielding similar staining patterns. Staining pattern consistent with experimental and/or bioinformatic data.