Antibody data
- Antibody Data
- Antigen structure
- References [0]
- Comments [0]
- Validations
- Western blot [2]
- Immunohistochemistry [3]
Submit
Validation data
Reference
Comment
Report error
- Product number
- AM09038PU-N - Provider product page

- Provider
- Acris Antibodies GmbH
- Proper citation
- Acris Antibodies GmbH Cat#AM09038PU-N, RRID:AB_1623448
- Product name
- anti TARDBP
- Antibody type
- Monoclonal
- Antigen
- Recombinant Human TARDBP (1-260 aa) purified from E. coli.
- Reactivity
- Human
- Host
- Mouse
- Isotype
- IgG
- Antibody clone number
- k1B8
- Vial size
- 0.1 ml
- Concentration
- 1.0 mg/ml
No comments: Submit comment
Supportive validation
- Submitted by
- Acris Antibodies GmbH (provider)
- Main image

- Experimental details
- Western blot analysis: Cell lysates of HeLa (20 ug) were resolved by SDS-PAGE, transferred to NC membrane and probed with anti-human TARDBP (1/1,000). Proteins were visualized using HRP conjugated Goat anti-Mouse secondary antibody and an ECL detection system.
- Submitted by
- Acris Antibodies GmbH (provider)
- Main image

- Experimental details
- Western blot analysis: Cell lysates of HeLa (20 ug) were resolved by SDS-PAGE, transferred to NC membrane and probed with anti-human TARDBP (1/1,000). Proteins were visualized using HRP conjugated Goat anti-Mouse secondary antibody and an ECL detection system.
Supportive validation
- Submitted by
- Acris Antibodies GmbH (provider)
- Main image

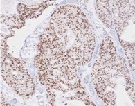
- Experimental details
- Immunohistochemistry: Paraffin Embedded Sections of Human prostate cancer were incubated with anti-Human TARDBP antibody (1/50) for 2 hours at RT. Antigen retrieval was performed in 0.1 M sodium citrate buffer and detected using Diaminobenzidine (DAB).
- Submitted by
- Acris Antibodies GmbH (provider)
- Main image

- Experimental details
- Immunohistochemistry: Paraffin Embedded Sections of Human seminoma tissue were incubated with anti-Human TARDBP antibody (1/50) for 2 hours at RT. Antigen retrieval was performed in 0.1 M sodium citrate buffer and detected using Diaminobenzidine (DAB).
- Submitted by
- Acris Antibodies GmbH (provider)
- Main image

- Experimental details
- Paraffin embedded sections of human prostate cancer and seminoma tissue were incubated with anti-human TARDBP(1:50) for 2 hours at room temperature. Antigen retrieval was performed in 0.1M sodium citrate buffer and detected using Diaminobenzidine (DAB)