Antibody data
- Antibody Data
- Antigen structure
- References [0]
- Comments [0]
- Validations
- Immunocytochemistry [2]
- Immunohistochemistry [2]
Submit
Validation data
Reference
Comment
Report error
- Product number
- LS-C185529 - Provider product page

- Provider
- LSBio
- Product name
- LIG3 / DNA Ligase III Antibody (aa765-1009) LS-C185529
- Antibody type
- Polyclonal
- Description
- Immunoaffinity purified
- Reactivity
- Human
- Host
- Rabbit
- Isotype
- IgG
- Storage
- Keep as concentrated solution. Aliquot and store at -20°C or below. Avoid multiple freeze-thaw cycles.
No comments: Submit comment
Supportive validation
- Submitted by
- LSBio (provider)
- Enhanced method
- Genetic validation
- Main image

- Experimental details
- Immunofluorescence of paraformaldehyde-fixed A431 using DNA ligase 3 antibody at 1:200 dilution.
- Submitted by
- LSBio (provider)
- Main image

- Experimental details
- Immunofluorescence of paraformaldehyde-fixed A431 using DNA ligase 3 antibody at 1:200 dilution.
Supportive validation
- Submitted by
- LSBio (provider)
- Enhanced method
- Genetic validation
- Main image

- Experimental details
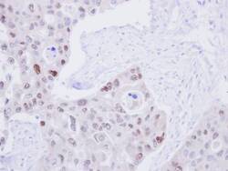
- IHC of paraffin-embedded H441 Xenograft using DNA ligase 3 antibody at 1:100 dilution.
- Submitted by
- LSBio (provider)
- Enhanced method
- Genetic validation
- Main image

- Experimental details
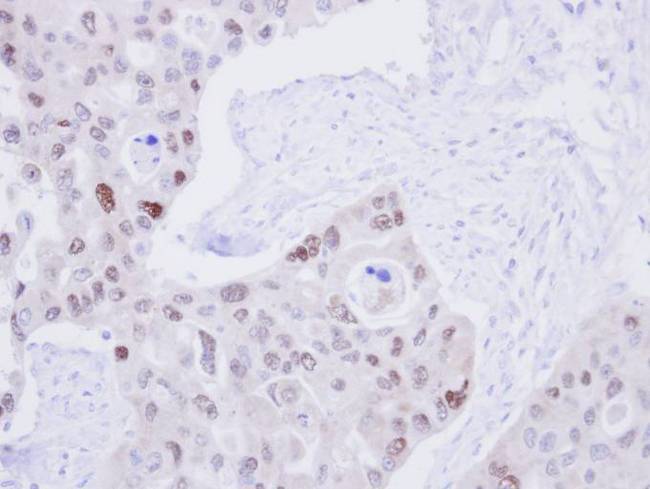
- IHC of paraffin-embedded H441 Xenograft using DNA ligase 3 antibody at 1:100 dilution.