Antibody data
- Antibody Data
- Antigen structure
- References [1]
- Comments [0]
- Validations
- Western blot [4]
- Immunocytochemistry [1]
- Immunohistochemistry [1]
Submit
Validation data
Reference
Comment
Report error
- Product number
- GTX103172 - Provider product page

- Provider
- GeneTex
- Proper citation
- GeneTex Cat#GTX103172, RRID:AB_2036773
- Product name
- DNA ligase III antibody
- Antibody type
- Polyclonal
- Reactivity
- Human
- Host
- Rabbit
Submitted references Poly(ADP-ribose) polymerase-1 promotes recruitment of meiotic recombination-11 to chromatin and DNA double-strand break repair in Ku70-deficient breast cancer cells.
Huang Y, Shao Q, Luo X, Yang D, Zeng B, Xiang T, Ren G, Cheng Q
FASEB journal : official publication of the Federation of American Societies for Experimental Biology 2018 Jun 6;:fj201800092R
FASEB journal : official publication of the Federation of American Societies for Experimental Biology 2018 Jun 6;:fj201800092R
No comments: Submit comment
Enhanced validation
Supportive validation
- Submitted by
- GeneTex (provider)
- Enhanced method
- Genetic validation
- Main image

- Experimental details
- Non-transfected (¡V) and transfected (+) 293T whole cell extracts (30 ?g) were separated by 7.5% SDS-PAGE, and the membrane was blotted with DNA ligase III antibody (GTX103172) diluted at 1:500.
Supportive validation
- Submitted by
- GeneTex (provider)
- Main image

- Experimental details
- Sample (30 ug of whole cell lysate) A: Hep G2 (GTX27900) 7.5% SDS PAGE GTX103172 diluted at 1:1000
- Validation comment
- WB
- Submitted by
- GeneTex (provider)
- Main image

- Experimental details
- DNA ligase III antibody detects DNA ligase III protein by western blot analysis. Various whole cell extracts (30 £gg) were separated by 7.5% SDS-PAGE, and the membrane was blotted with DNA ligase III antibody (GTX103172) diluted by 1:1000.
- Submitted by
- GeneTex (provider)
- Main image

- Experimental details
- Non-transfected (¡V) and transfected (+) 293T whole cell extracts (30 ?g) were separated by 7.5% SDS-PAGE, and the membrane was blotted with DNA ligase III antibody (GTX103172) diluted at 1:500.
Supportive validation
- Submitted by
- GeneTex (provider)
- Main image

- Experimental details
- DNA ligase III antibody detects LIG3 protein at nucleus by immunofluorescent analysis. Sample: HeLa cells were fixed in 4% paraformaldehyde at RT for 15 min.Green: LIG3 protein stained by DNA ligase III antibody (GTX103172) diluted at 1:500.Blue: Hoechst 33342 staining.
Supportive validation
- Submitted by
- GeneTex (provider)
- Main image

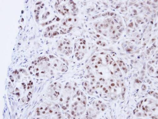
- Experimental details
- Immunohistochemical analysis of paraffin-embedded A549 Xenograft, using DNA ligase 3(GTX103172) antibody at 1:100 dilution.