Antibody data
- Antibody Data
- Antigen structure
- References [0]
- Comments [0]
- Validations
- Western blot [2]
- Immunohistochemistry [5]
Submit
Validation data
Reference
Comment
Report error
- Product number
- LS-C287168 - Provider product page

- Provider
- LSBio
- Product name
- PNKP Antibody (aa100-150) LS-C287168
- Antibody type
- Polyclonal
- Description
- Affinity purified
- Reactivity
- Human
- Host
- Rabbit
- Isotype
- IgG
- Storage
- Store at 2-8°C for up to one year.
No comments: Submit comment
Enhanced validation
- Submitted by
- LSBio (provider)
- Enhanced method
- Genetic validation
- Main image

- Experimental details
- Detection of Human PNK1 by Western Blot. Samples: Whole cell lysate (5, 15 and 50 ug) from HeLa cells. Antibody: Affinity purified rabbit anti-PNK1 antibody used at 0.4 ug/ml. Detection: Chemiluminescence with an exposure time of 20 seconds.
- Submitted by
- LSBio (provider)
- Enhanced method
- Genetic validation
- Main image

- Experimental details
- Detection of human PNK1 by western blot. Samples: Whole cell lysate (50 µg) from HeLa, HEK293T, and Jurkat cells prepared using NETN lysis buffer. Antibody: Affinity purified rabbit anti-PNK1 antibody used for WB at 0.1 µg/ml. Detection: Chemiluminescence with an exposure time of 30 seconds.
Supportive validation
- Submitted by
- LSBio (provider)
- Enhanced method
- Genetic validation
- Main image

- Experimental details
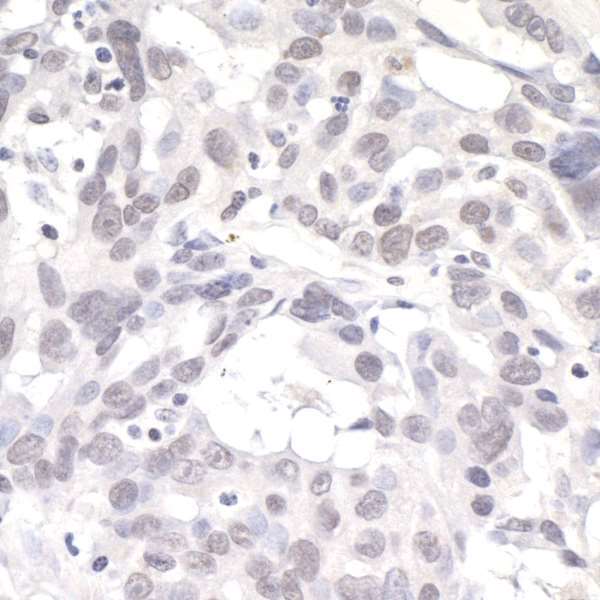
- Detection of Human PNK1 by Immunohistochemistry. Sample: FFPE section of human ovarian carcinoma. Antibody: Affinity purified rabbit anti-PNK1 used at a dilution of 1:5000 (0.2 ug/ml). Detection: DAB.
- Submitted by
- LSBio (provider)
- Enhanced method
- Genetic validation
- Main image

- Experimental details
- Detection of human PNK1 by immunohistochemistry. Sample: FFPE section of human ovarian carcinoma. Antibody: Affinity purified rabbit anti- PNK1 used at a dilution of 1:1,000 (1 µg/ml). Detection: DAB
- Submitted by
- LSBio (provider)
- Enhanced method
- Genetic validation
- Main image

- Experimental details
- Detection of human PNK1 by immunohistochemistry. Sample: FFPE section of human ovarian carcinoma. Antibody: Affinity purified rabbit anti- PNK1 used at a dilution of 1:1,000 (1 µg/ml). Detection: DAB
- Submitted by
- LSBio (provider)
- Enhanced method
- Genetic validation
- Main image

- Experimental details
- Detection of Human PNK1 by Immunohistochemistry. Sample: FFPE section of human ovarian carcinoma. Antibody: Affinity purified rabbit anti-PNK1 used at a dilution of 1:5000 (0.2 ug/ml). Detection: DAB.
- Submitted by
- LSBio (provider)
- Enhanced method
- Genetic validation
- Main image

- Experimental details
- Detection of human PNK1 by immunohistochemistry. Sample: FFPE section of human ovarian carcinoma. Antibody: Affinity purified rabbit anti- PNK1 used at a dilution of 1:1,000 (1 µg/ml). Detection: DAB