Antibody data
- Antibody Data
- Antigen structure
- References [0]
- Comments [0]
- Validations
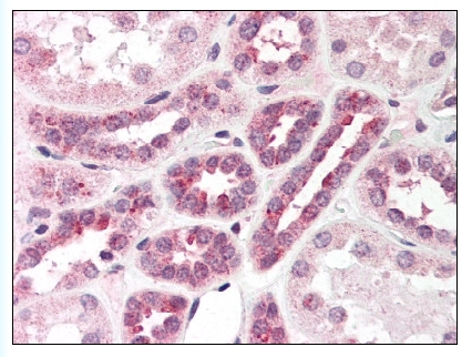
- Immunohistochemistry [1]
Submit
Validation data
Reference
Comment
Report error
- Product number
- AP07618PU-N - Provider product page

- Provider
- Acris Antibodies GmbH
- Proper citation
- Acris Antibodies GmbH Cat#AP07618PU-N, RRID:AB_1621306
- Product name
- anti PNKP
- Antibody type
- Polyclonal
- Antigen
- Synthetic peptide corresponding to an internal region of human PNK protein.
- Reactivity
- Human, Mouse, Rat, Canine
- Host
- Rabbit
- Vial size
- 50 µg
- Concentration
- 1.0 mg/ml
No comments: Submit comment
Supportive validation
- Submitted by
- Acris Antibodies GmbH (provider)
- Main image

- Experimental details
- Figure 1. Formalin-Fixed Paraffin-Embedded (FFPE) on Kidney.