Antibody data
- Antibody Data
- Antigen structure
- References [0]
- Comments [0]
- Validations
- Western blot [2]
- Immunohistochemistry [1]
- Flow cytometry [1]
Submit
Validation data
Reference
Comment
Report error
- Product number
- OAAB01672 - Provider product page

- Provider
- Aviva Systems Biology
- Product name
- ERP29 antibody - center region
- Antibody type
- Polyclonal
- Reactivity
- Human
- Host
- Rabbit
- Vial size
- 400ul
- Storage
- Maintain refrigerated at 2-8 deg C for up to 6 months. For long term storage store at -20 deg C in small aliquots to prevent freeze-thaw cycles.
No comments: Submit comment
Supportive validation
- Submitted by
- Aviva Systems Biology (provider)
- Main image

- Experimental details
- Western blot analysis of ERP29 (arrow) using rabbit polyclonal ERP29 Antibody (Center) either nontransfected (Lane 1) or lysates transiently transfected transfected with the ERP29 gene (Lane 2) .
- Sample type
- lysatestransiently transfected with the ERP29 gene
- Primary Ab dilution
- 1.0 µg/mL
- Protocol
- Protocol
- Submitted by
- Aviva Systems Biology (provider)
- Main image

- Experimental details
- Western blot analysis of ERP29 Antibody (Center) in A2058,A375,MCF7,NCI-H460,Y79 cell lysates (35ug/lane). ERP29 (arrow) was detected using the purified Pab.
- Sample type
- A2058,A375,MCF7,NCI-H460,Y79 cell line lysates
- Primary Ab dilution
- 1.0 µg/mL
- Protocol
- Protocol
Supportive validation
- Submitted by
- Aviva Systems Biology (provider)
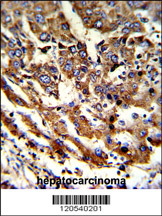
- Main image

- Experimental details
- Formalin-fixed and paraffin-embedded human hepatocarcinoma reacted with ERP29 Antibody (Center), which was peroxidase-conjugated to the secondary antibody, followed by DAB staining. This data demonstrates the use of this antibody for immunohistochemistry; clinical relevance has not been evaluated.
- Sample type
- human hepatocarcinoma
- Primary Ab dilution
- 1.0 µg/mL
- Protocol
- Protocol
Supportive validation
- Submitted by
- Aviva Systems Biology (provider)
- Main image

- Experimental details
- ERP29 Antibody (Center) flow cytometric analysis of NCI-H292 cells (bottom histogram) compared to a negative control cell (top histogram).FITC-conjugated goat-anti-rabbit secondary antibodies were used for the analysis.
- Sample type
- NCI-H292 cells
- Primary Ab dilution
- 1.0 µg/mL
- Protocol
- Protocol