Antibody data
- Antibody Data
- Antigen structure
- References [0]
- Comments [0]
- Validations
- Western blot [2]
- Immunohistochemistry [1]
Submit
Validation data
Reference
Comment
Report error
- Product number
- TA801478 - Provider product page

- Provider
- OriGene
- Proper citation
- OriGene Cat#TA801478, RRID:AB_2625958
- Product name
- POLI mouse monoclonal antibody, clone OTI1C8 (formerly 1C8)
- Antibody type
- Monoclonal
- Description
- POLI mouse monoclonal antibody, clone OTI1C8 (formerly 1C8)
- Host
- Mouse
- Conjugate
- Unconjugated
- Epitope
- POLI
- Isotype
- IgG
- Antibody clone number
- OTI1C8
- Vial size
- 100 µl
- Concentration
- 1 mg/ml
No comments: Submit comment
Supportive validation
- Submitted by
- OriGene (provider)
- Main image

- Experimental details
- HEK293T cells were transfected with the pCMV6-ENTRY control (Left lane) or pCMV6-ENTRY POLI (RC207550, Right lane) cDNA for 48 hrs and lysed. Equivalent amounts of cell lysates (5 ug per lane) were separated by SDS-PAGE and immunoblotted with anti-POLI.
- Validation comment
- WB
- Submitted by
- OriGene (provider)
- Main image

- Experimental details
- Western blot analysis of extracts (10ug) from 1 cell line by using anti-POLI monoclonal antibody.(1:200)
- Validation comment
- WB
Supportive validation
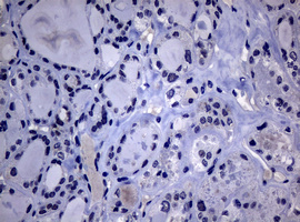
- Submitted by
- OriGene (provider)
- Main image

- Experimental details
- Immunohistochemical staining of paraffin-embedded Carcinoma of Human thyroid tissue using anti-POLI mouse monoclonal antibody. (Heat-induced epitope retrieval by 10mM citric buffer, pH6.0, 120C for 3min, TA801478)
- Validation comment
- IHC