Antibody data
- Antibody Data
- Antigen structure
- References [0]
- Comments [0]
- Validations
- Western blot [1]
- Immunohistochemistry [1]
Submit
Validation data
Reference
Comment
Report error
- Product number
- NBP1-59892 - Provider product page 
- Provider
- Novus Biologicals
- Proper citation
- Novus Cat#NBP1-59892, RRID:AB_11028765
- Product name
- Rabbit Polyclonal SLC7A14 Antibody
- Antibody type
- Polyclonal
- Description
- Protein A purified.
- Reactivity
- Human
- Host
- Rabbit
- Isotype
- IgG
- Vial size
- 100ul
- Storage
- Store at -20C. Avoid freeze-thaw cycles.
				No comments: Submit comment	
	
			
							
					Supportive validation
					
									
				
				- Submitted by
- Novus Biologicals (provider)
- Main image
 
- Experimental details
- Western Blot: SLC7A14 Antibody [NBP1-59892] - Jurkat cell lysate, Antibody Titration: 2.5ug/ml
							
					Supportive validation
					
									
				
		- Submitted by
- Novus Biologicals (provider)
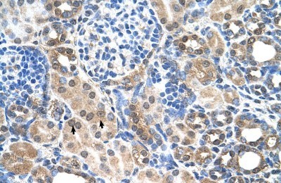
- Main image
 
- Experimental details
- Immunohistochemistry-Paraffin: SLC7A14 Antibody [NBP1-59892] - Human kidney Tissue, antibody concentration 4-8ug/ml. Cells with positive label: renal corpuscle cells (indicated with arrows) 400X magnification.