Antibody data
- Antibody Data
- Antigen structure
- References [0]
- Comments [0]
- Validations
- Western blot [3]
- Immunohistochemistry [4]
- Other assay [1]
Submit
Validation data
Reference
Comment
Report error
- Product number
- 21147-1-AP - Provider product page 
- Provider
- Invitrogen Antibodies
- Product name
- TACO1/CCDC44 Polyclonal Antibody
- Antibody type
- Polyclonal
- Antigen
- Other
- Reactivity
- Human, Mouse, Rat
- Host
- Rabbit
- Isotype
- IgG
- Vial size
- 150 µL
- Concentration
- 0.26 mg/mL
- Storage
- -20°C
				No comments: Submit comment	
	
			
							
					Supportive validation
					
									
				
				- Submitted by
- Invitrogen Antibodies (provider)
- Main image
 
- Experimental details
- Mouse liver tissue were subjected to SDS PAGE followed by western blot with 21147-1-AP ( TACO1/CCDC44 antibody at dilution of 1:600 incubated at room temperature for 1.5 hours.
- Submitted by
- Invitrogen Antibodies (provider)
- Main image
 
- Experimental details
- WB result of TACO1/CCDC44 antibody (21147-1-AP; 1:500; incubated at room temperature for 1.5 hours) with sh-Control and sh-TACO1/CCDC44 transfected HeLa cells.
- Submitted by
- Invitrogen Antibodies (provider)
- Main image
 
- Experimental details
- Mouse heart tissue were subjected to SDS PAGE followed by western blot with 21147-1-AP (TACO1/CCDC44 antibody at dilution of 1:600 incubated at room temperature for 1.5 hours.
							
					Supportive validation
					
									
				
				- Submitted by
- Invitrogen Antibodies (provider)
- Main image
 
- Experimental details
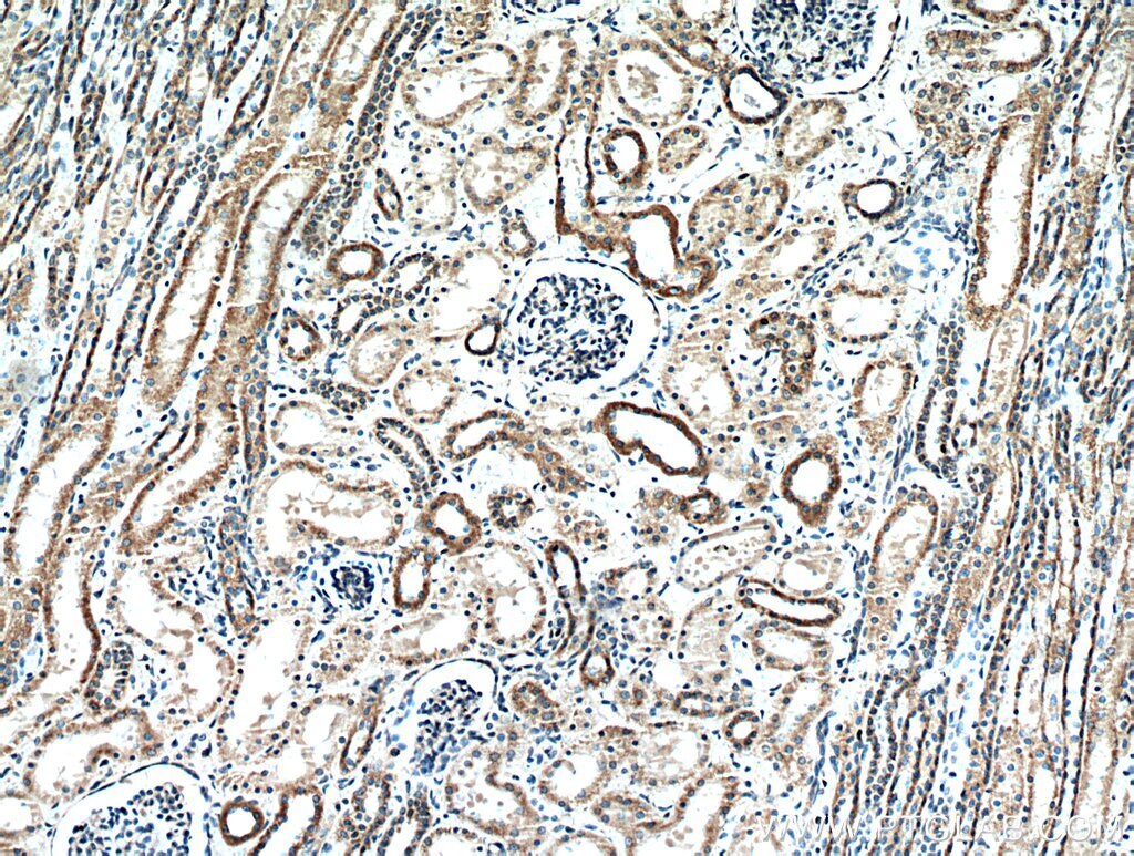
- Immunohistochemistry of paraffin-embedded human kidney using 21147-1-AP (TACO1/CCDC44 antibody) at dilution of 1:50 (under 10x lens).
- Submitted by
- Invitrogen Antibodies (provider)
- Main image
 
- Experimental details
- Immunohistochemistry of paraffin-embedded human kidney using 21147-1-AP (TACO1/CCDC44 antibody) at dilution of 1:50 (under 40x lens).
- Submitted by
- Invitrogen Antibodies (provider)
- Main image
 
- Experimental details
- Immunohistochemistry of paraffin-embedded human brain using 21147-1-AP (TACO1/CCDC44 antibody) at dilution of 1:50 (under 10x lens).
- Submitted by
- Invitrogen Antibodies (provider)
- Main image
 
- Experimental details
- Immunohistochemistry of paraffin-embedded human brain using 21147-1-AP (TACO1/CCDC44 antibody) at dilution of 1:50 (under 40x lens).
							
					Supportive validation
					
									
				
		- Submitted by
- Invitrogen Antibodies (provider)
- Main image
 
- Experimental details
- IP result of anti-TACO1/CCDC44 (IP:21147-1-AP, 4ug; Detection:21147-1-AP 1:600) with mouse liver tissue lysate 4000ug.