Antibody data
- Antibody Data
- Antigen structure
- References [0]
- Comments [0]
- Validations
- Western blot [1]
- Immunohistochemistry [1]
Submit
Validation data
Reference
Comment
Report error
- Product number
- AP53788PU-N - Provider product page

- Provider
- OriGene
- Product name
- SPACA1 (N-term) rabbit polyclonal antibody, Aff - Purified
- Antibody type
- Polyclonal
- Description
- SPACA1 (N-term) rabbit polyclonal antibody, Aff - Purified
- Host
- Rabbit
- Conjugate
- Unconjugated
- Epitope
- SPACA1
- Antibody clone number
- NULL
- Vial size
- 400 µl
- Concentration
- lot specific
No comments: Submit comment
Supportive validation
- Submitted by
- OriGene (provider)
- Main image

- Experimental details
- Western blot analysis in 293 cell line lysates (35 ug/lane) using SACA1 Antibody (N-term) . This demonstrates the SACA1 antibody detected the SACA1 protein (arrow).
- Validation comment
- WB
Supportive validation
- Submitted by
- OriGene (provider)
- Main image

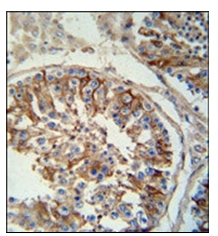
- Experimental details
- Immunohistochemistry analysis in Formalin Fixed, Paraffin Embedded Human testis tissue stained with SACA1 antibody (N-term) - followed by peroxidase conjugation of the secondary antibody and DAB staining. This data demonstrates the use of the SACA1 antibody (N-term) for immunohistochemistry. Clinical relevance has not been evaluated.
- Validation comment
- IHC