LS-C166750
antibody from LSBio
Targeting: GZMB
CCPI, CGL-1, CGL1, CSP-B, CSPB, CTLA1, CTSGL1, HLP, SECT
Antibody data
- Antibody Data
- Antigen structure
- References [0]
- Comments [0]
- Validations
- Western blot [2]
- Immunohistochemistry [2]
Submit
Validation data
Reference
Comment
Report error
- Product number
- LS-C166750 - Provider product page

- Provider
- LSBio
- Product name
- GZMB / Granzyme B Antibody (aa175-203) LS-C166750
- Antibody type
- Polyclonal
- Description
- Ammonium sulfate precipitation
- Reactivity
- Human
- Host
- Rabbit
- Storage
- Maintain refrigerated at 2°C to 8°C for up to 6 months. For long term storage store at -20°C.
No comments: Submit comment
Enhanced validation
- Submitted by
- LSBio (provider)
- Enhanced method
- Genetic validation
- Main image

- Experimental details
- Western blot of GZMB Antibody in HL-60 cell line lysates (35 ug/lane). GZMB (arrow) was detected using the purified antibody.
- Submitted by
- LSBio (provider)
- Enhanced method
- Genetic validation
- Main image

- Experimental details
- Western blot of GZMB (arrow) using rabbit polyclonal GZMB Antibody. 293 cell lysates (2 ug/lane) either nontransfected (Lane 1) or transiently transfected (Lane 2) with the GZMB gene.
Supportive validation
- Submitted by
- LSBio (provider)
- Enhanced method
- Genetic validation
- Main image

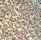
- Experimental details
- GZMB Antibody IHC of formalin-fixed and paraffin-embedded human Lymph tissue followed by peroxidase-conjugated secondary antibody and DAB staining.
- Submitted by
- LSBio (provider)
- Enhanced method
- Genetic validation
- Main image

- Experimental details
- GZMB Antibody IHC of formalin-fixed and paraffin-embedded human Lymph tissue followed by peroxidase-conjugated secondary antibody and DAB staining.