Antibody data
- Antibody Data
- Antigen structure
- References [0]
- Comments [0]
- Validations
- Western blot [1]
- Immunocytochemistry [3]
- Immunoprecipitation [3]
Submit
Validation data
Reference
Comment
Report error
- Product number
- LS-B14243 - Provider product page

- Provider
- LSBio
- Product name
- IHC-plus™ KIF11 / EG5 Antibody LS-B14243
- Antibody type
- Monoclonal
- Description
- Purified
- Reactivity
- Human
- Host
- Mouse
- Storage
- Maintain refrigerated at 2°C to 8°C for up to 6 months. For long term storage store at -20°C.
No comments: Submit comment
Enhanced validation
- Submitted by
- LSBio (provider)
- Enhanced method
- Genetic validation
- Main image

- Experimental details
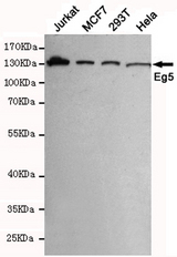
- Western blot detection of Eg5 in MCF7, 293T, Jurkat and HeLa cell lysates using Eg5 mouse monoclonal antibody (1:1000 dilution). Predicted band size: 130KDa. Observed band size:130KDa.
Supportive validation
- Submitted by
- LSBio (provider)
- Enhanced method
- Genetic validation
- Main image

- Experimental details
- Immunocytochemistry staining of HeLa using Eg5 mouse monoclonal antibody (1:200).
- Submitted by
- LSBio (provider)
- Enhanced method
- Genetic validation
- Main image

- Experimental details
- Immunocytochemistry staining of HeLa using Eg5 mouse monoclonal antibody (1:200).
- Submitted by
- LSBio (provider)
- Main image

- Experimental details
- Immunocytochemistry staining of HeLa using Eg5 mouse monoclonal antibody (1:200).
Supportive validation
- Submitted by
- LSBio (provider)
- Enhanced method
- Genetic validation
- Main image

- Experimental details
- Immunoprecipitation analysis of Jurkat cell lysates using Eg5 mouse monoclonal antibody.
- Submitted by
- LSBio (provider)
- Main image

- Experimental details
- Immunoprecipitation analysis of Jurkat cell lysates using Eg5 mouse monoclonal antibody.
- Submitted by
- LSBio (provider)
- Main image

- Experimental details
- Immunoprecipitation analysis of Jurkat cell lysates using Eg5 mouse monoclonal antibody.