Antibody data
- Antibody Data
- Antigen structure
- References [0]
- Comments [0]
- Validations
- Western blot [2]
- Immunohistochemistry [1]
Submit
Validation data
Reference
Comment
Report error
- Product number
- NBP1-80061 - Provider product page

- Provider
- Novus Biologicals
- Proper citation
- Novus Cat#NBP1-80061, RRID:AB_11038647
- Product name
- Rabbit Polyclonal GABA-A R rho 2 Antibody
- Antibody type
- Polyclonal
- Description
- Immunogen affinity purified.
- Reactivity
- Human
- Host
- Rabbit
- Isotype
- IgG
- Vial size
- 100 ul
- Storage
- Store at -20C. Avoid freeze-thaw cycles.
No comments: Submit comment
Supportive validation
- Submitted by
- Novus Biologicals (provider)
- Main image

- Experimental details
- Western Blot: GABA-A R rho 2 Antibody [NBP1-80061] - Hela cell lysate, concentration 0.2-1 ug/ml.
- Submitted by
- Novus Biologicals (provider)
- Main image

- Experimental details
- Western Blot: GABA-A R rho 2 Antibody [NBP1-80061] - Sample Type: Human Fetal Brain Antibody Dilution: 1.0 ug/ml
Supportive validation
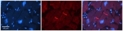
- Submitted by
- Novus Biologicals (provider)
- Main image

- Experimental details
- Immunohistochemistry: GABA-A R rho 2 Antibody [NBP1-80061] - Formalin Fixed Paraffin Embedded Tissue: Human Adult heart Observed Staining: Membrane(tight junctions - intercalated disks) Primary Antibody Concentration: 1:600 Secondary Antibody: Donkey anti-Rabbit-Cy2/3 Secondary Antibody Concentration: 1:200 Magnification: 20X Exposure Time: 0.5 - 2.0 sec Protocol located in Reviews and Data.