Antibody data
- Antibody Data
- Antigen structure
- References [0]
- Comments [0]
- Validations
- Western blot [2]
Submit
Validation data
Reference
Comment
Report error
- Product number
- AP09396PU-N - Provider product page

- Provider
- Acris Antibodies GmbH
- Proper citation
- Acris Antibodies GmbH Cat#AP09396PU-N, RRID:AB_2035866
- Product name
- anti POGZ
- Antibody type
- Polyclonal
- Antigen
- Synthetic peptide corresponding to a region near the N-terminus of mouse Pogz protein
- Reactivity
- Human, Mouse, Rat, Canine, Chicken/Avian
- Host
- Rabbit
- Isotype
- IgG
- Vial size
- 0.1 mg
- Concentration
- 0.564 mg/ml (by UV absorbance at 280 nm)
No comments: Submit comment
Supportive validation
- Submitted by
- Acris Antibodies GmbH (provider)
- Main image

- Experimental details
- Western blot using affinity purified anti-Pogz antibody shows detection of Pogz protein (arrowhead) in adult mouse thymus and spleen tissue lysate (Panel A). The lower molecular weight bands may be cross reactive proteins. Pre-incubation of antibody with the immunizing peptide blocks specific antibody reactivity. Primary antibody was used at 1:3,000.
- Submitted by
- Acris Antibodies GmbH (provider)
- Main image

- Experimental details
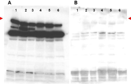
- Western blot using affinity purified anti-Pogz antibody shows detection (Panel A) of Pogz protein (arrowhead) in brain whole cell lysates from wild type (WT) adult mice (lanes 1-3). No band is seen in similar lysates from knockout (KO) mice (lanes 4-6). Pre-incubation of antibody with the immunizing peptide blocks specific antibody reactivity (Panel B). Primary antibody was used at 1:3,000.